8 Ssw Ultraschall

ᐅ 15 Ssw Schwangerschaftswoche Alle Infos Grosse Entwicklung

8 Ssw Schwangerschaftswoche

Die 8 Ssw Die Anstrengung Macht Sich Bemerkbar

Ihr Baby In Der 8 Schwangerschaftswoche 8 Ssw Ihre Aktuelle Schwangerschaftswoche Schwangerschaft Swissmom Ch

Ultraschall In Der Schwangerschaft Familie De

Schwangerschaftstagebuch 8 Und 9 Ssw Lacheln Und Winken
Der Ultraschall Vor dem Beginn der 8 SSW unterscheidet sich der menschliche Embryo kaum von denen anderer Säugetiere In der siebten Schwangerschaftswoche sieht man am Embryo langsam die menschlichen Formen und Ansätze von Ärmchen und Beinchen Das ändert sich nun allerdings schlagartig Wenn ihr in der 8.

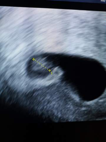
8 ssw ultraschall. Größe und Entwicklung des Embryos Der 2 Schwangerschaftsmonat geht zu Ende!. 8 SSW Ultraschall Deines Babys in der 8 Schwangerschaftswoche In der 8 SSW ist der Embryo 16 Millimeter groß Ab Ende dieser Woche ist sogar der Herzschlag beim Ultraschall zu erkennen und Herz und Kopf sind getrennt voneinander darstellbar In der jetzigen Entwicklungsphase tritt eine kleine Schleife des Darmes in einen Abschnitt der Nabelschnur über, weil die Bauchhöhle noch zu klein ist, um ihn ganz aufzunehmen. Das zeigt der Ultraschall in der 8 Schwangerschaftswoche Spätestens gegen Ende der 8 Schwangerschaftswoche ist der Herzschlag des Kindes auf dem Ultraschall zu erkennen Ein absolut unglaubliches und einzigartiges Gefühl, an dass ihr euch noch sehr lange erinnern werdet.
Der aufregendste Moment der Untersuchung wird für Sie wahrscheinlich der Ultraschall sein Da Ihrem Bauch in der 8 SSW wahrscheinlich noch nicht viel anzusehen sein wird, ist der Gedanke ein kleines Geschöpf in sich zu tragen wahrscheinlich noch recht abstrakt Der Ultraschall macht es sichtbar und bestätigt noch einmal Ihre Schwangerschaft. Der Ultraschall spielt eine sehr wichtige Rolle während der Schwangerschaft, das gilt auch bereits in der 8SSW Die Ultraschalluntersuchung in der 8SSW, ist jedoch nicht Pflicht für den Gynäkologen, sondern vielleicht ein zufälliges Ereignis. 8 SSW Ultraschall und regelmäßige Vorsorgeuntersuchungen Ob du für Checks den Frauenarzt aufsuchst oder deine Hebamme Ab SSW 8 stehen regelmäßige Vorsorgeuntersuchungen auf deinem SchwangerschaftskalenderZum jetzigen Zeitpunkt betragen die Terminabstände einen Monat, ab der 30.
8 SSW Ultraschall Deines Babys in der 8 Schwangerschaftswoche In der 8 SSW ist der Embryo 16 Millimeter groß Ab Ende dieser Woche ist sogar der Herzschlag beim Ultraschall zu erkennen und Herz und Kopf sind getrennt voneinander darstellbar In der jetzigen Entwicklungsphase tritt eine kleine Schleife des Darmes in einen Abschnitt der Nabelschnur über, weil die Bauchhöhle noch zu klein. 8 ssw und auf ultraschall ist nichts zu sehen Hallo, ich habe einen Schwangerschaftstest gemacht, er war positiv Ich war auch schon beim FA aber der FA hat auf dem Ultraschall nichts gesehen aber der hcg wert im blut steigt Hatte zwischendurch schmierblutungen bekommen die über einer Woche waren. Im Ultraschall einer Zwillingsschwangerschaft lassen sich Zwillinge mit getrennten Fruchthöhlen zwischen der 8 SSW und der 12 SSW erkennen, wohingegen sich im Ultraschall ab der 16 SSW gemeinsame oder getrennte Fruchthöhlen nicht mehr differenzieren lasen 8 UltraschallScreening auf strukturelle Anomalien bei Zwillingsschwangerschaften.
Wir sagen euch, was vor der ersten Untersuchung wichtig zu wissen ist. Der Ultraschall Vor dem Beginn der 8 SSW unterscheidet sich der menschliche Embryo kaum von denen anderer Säugetiere In der siebten Schwangerschaftswoche sieht man am Embryo langsam die menschlichen Formen und Ansätze von Ärmchen und Beinchen Das ändert sich nun allerdings schlagartig Wenn ihr in der 8. 1 Dein Körper in der 8 SSW Mittlerweile kann es sein, dass dein Bauch ein wenig gewölbter ist als in der Woche zuvor Solltest du jedoch an starker Übelkeit leiden, ist auch eine Gewichtsabnahme nicht außergewöhnlich.
Würde ihnen ja das Bild mal zeigen, wenn ich weiß ob das mit dem Link einstellen hier so geht. Ultraschall in der Frühschwangerschaft;. Re 8 SSw Ultraschall, was sieht man?.
Der Ultraschall spielt eine sehr wichtige Rolle während der Schwangerschaft, das gilt auch bereits in der 8SSW Die Ultraschalluntersuchung in der 8SSW, ist jedoch nicht Pflicht für den Gynäkologen, sondern vielleicht ein zufälliges Ereignis. Mehrlinge entdecken (Ultraschall) Alter des Embryos (Ultraschall). Hier finden Sie alle aktuellen Beiträge zum Thema Ultraschall 8 SSW Alles rund um das Thema Ultraschall 8 SSW GesundheitsMagazinnet.
Autor Thema rechnerisch 8ssw aber laut Ultraschall nur 6 ssw (Gelesen mal). In der 8 Schwangerschaftswoche (SSW) ist der Embryo etwa 15 Millimeter groß (ScheitelSteißLänge = SSL) Der Kopf hebt sich nun und der Körper streckt sich, der Embryo sieht immer mehr wie ein Baby aus Im Lauf der 8 SSW ist bereits ein kleines Gesicht mit Mund, Nase und Augen zu erkennen. Finger und Zehen, Kniegelenke und Ellbogen, differenzieren die Gliedmaßen auf dem SSW 8 Ultraschall weiter aus Die 8 Schwangerschaftswoche Baby Entwicklung Fruchtblase Mama Mutterbänder Blutungen Papa.
Was zeigt der 8 SSW Ultraschall?. Ultraschall bild 8 ssw Die Produkte unter den verglichenenUltraschall bild 8 ssw Rangliste unserer besten Ultraschall bild 8 ssw Unser Testerteam hat verschiedene Marken ausführlichst analysiert und wir zeigen Ihnen hier unsere Ergebnisse unseres Tests. Ultraschall in der Frühschwangerschaft;.
Würde ihnen ja das Bild mal zeigen, wenn ich weiß ob das mit dem Link einstellen hier so geht. Würde ihnen ja das Bild mal zeigen, wenn ich weiß ob das mit dem Link einstellen hier so geht. Re Blutung in der 8 SSW Antwort von ginger1987, 21 SSW am , 02 Uhr Hallo, Schließe mich den anderen an Ohne Untersuchung bzw Ultraschall von fg zu sprechen ist unprofessionell und unsensibel Warte den Termin ab und versuche erstmal ruhig zu bleiben auch wenn es schwer fällt.
Schwangerschaftswoche (SSW) Vom Pünktchen bis zum Gummibärchen – der Embryo bekommt ein menschliches Gesicht In dieser Phase erhalten die meisten werdenden Mütter eine Bestätigung für ihre Schwangerschaft, der erste Ultraschall beim Gynäkologen steht an In der 6. Ultraschall bild 8 ssw Die Produkte unter den verglichenenUltraschall bild 8 ssw Rangliste unserer besten Ultraschall bild 8 ssw Unser Testerteam hat verschiedene Marken ausführlichst analysiert und wir zeigen Ihnen hier unsere Ergebnisse unseres Tests. In der 8 Schwangerschaftswoche ist der Embryo 9 bis 13 mm groß (Nevit Dilmen).
Die erste große Ultraschall Untersuchung steht zwischen der 9 SSW und der 12 SSW an Hier wird dein Arzt deine Bedenken wegen dem 9 SSW Ziehen im Unterleib mit Sicherheit Entwarnung geben Bei der Ultraschall Untersuchen, die die Erste in der Schwangerschaft sein wird, wirst du dein Baby zum ersten Mal sehen können. SSW und ich war heute beim FA zum Ultraschall und er konnte keinen Herzschlag sehen Er hat mir auch wenig Hoffnung gemacht Es könnte zwar sein, daß ich doch erst in der 7 bin, aber auch dann. Die 8 Schwangerschaftswoche (SSW 8) In der 8 SSW könnt ihr bei der Vorsorge im Ultraschall zum ersten Mal euer Baby sehen Was für ein tolles Gefühl, das winzige Herz schlagen zu sehen und bereits Kopf und Armknospen erkennen zu können!.
Der Ultraschall spielt eine sehr wichtige Rolle während der Schwangerschaft, das gilt auch bereits in der 8SSW Die Ultraschalluntersuchung in der 8SSW, ist jedoch nicht Pflicht für den Gynäkologen, sondern vielleicht ein zufälliges Ereignis. In der 8 Schwangerschaftswoche ist der Embryo 9 bis 13 mm groß (Nevit Dilmen). 8 SSw Ultraschall, was sieht man?.
Erfahre alles Wichtige für deine Schwangerschaft bei Babyweltench Diese Woche Das Herz deines Babys schlägt und du brauchst vielleicht einen grösseren BH. 8 SSW Embryo zu klein die SSL 3,5 mm wurde bei 73 gemessen (Mittwoch), wäre aber ja trotzdem zu klein Kann das Kleine ungünstig gelegen haben?. In der 8 Schwangerschaftswoche (SSW) befinden Sie sich noch immer im ersten Trimester der Schwangerschaft Manche Schwangere machen sich Sorgen, ob mit Ihrem Embryo im Bauch alles in Ordnung ist.
Im Ultraschall ist die Fruchthöhle das erste Zeichen einer Schwangerschaft Sie lässt sich frühestens zu Beginn der 5 SSW also kurz nach Ausbleiben der Regelblutung in der Gebärmutter nachweisen In Bild 1 misst die Fruchthöhle (FH) 5 mm Das entspricht etwa der SSW 52 (SSW = Schwangerschaftswoche) Es sind also nach dem ersten. Zu Beginn der 8 SSW sind es bis zum Entbindungstermin (ET) noch 33 Wochen beziehungsweise 231 e Man spricht bei dieser Schwangerschaftswoche von 7 0 – 7 6 SSW Dein Baby misst jetzt vom Scheitel bis zum Steiß acht bis elf Millimeter und wird bis zum Ende der 8 Schwangerschaftswoche auf 1,4 Zentimeter heranwachsen. 8 SSw Ultraschall, was sieht man?.
Größe und Entwicklung des Embryos Der 2 Schwangerschaftsmonat geht zu Ende!. Ultraschall der 8 Schwangerschaftswoche und 3 e8 SSW. Besonderheiten beim Ultraschall in der 8SSW In der 8Schwangerschaftswoche ist der Kopf noch größer als der gesamte Körper des Embryos Dies sieht gewiss etwas unförmig aus, wirkt aber zuckersüß Zum Beispiel lassen sich in manchen Fällen sogar am Ultraschall die Schwimmhäute zwischen den Fingern sehen.
Im Ultraschall ist die Fruchthöhle das erste Zeichen einer Schwangerschaft Sie lässt sich frühestens zu Beginn der 5 SSW also kurz nach Ausbleiben der Regelblutung in der Gebärmutter nachweisen In Bild 1 misst die Fruchthöhle (FH) 5 mm Das entspricht etwa der SSW 52 (SSW = Schwangerschaftswoche) Es sind also nach dem ersten. Jetzt steht die erste große Vorsorgeuntersuchung an – mit einem besonders spannenden Moment beim Ultraschall So entwickelt sich der Embryo in der 8 SSW. Das zeigt der Ultraschall in der 8 Schwangerschaftswoche Spätestens gegen Ende der 8 Schwangerschaftswoche ist der Herzschlag des Kindes auf dem Ultraschall zu erkennen Ein absolut unglaubliches und einzigartiges Gefühl, an dass ihr euch noch sehr lange erinnern werdet.
In der 8 Schwangerschaftswoche (SSW) befinden Sie sich noch immer im ersten Trimester der Schwangerschaft Manche Schwangere machen sich Sorgen, ob mit Ihrem Embryo im Bauch alles in Ordnung ist. Steht dort allerdings 8 SSW 1, 2, 3 oder 6, dann bedeutet das, dass du dich schon in der 9 Schwangerschaftswoche (SSW) befindest und schon eine Woche weiter bist Du fragst dich bestimmt auch, wie dein Baby in der 8 SSW aussieht, was man bereits bei einer Ultraschalluntersuchung bzw. Die 8 Schwangerschaftswoche (SSW 8) In der 8 SSW könnt ihr bei der Vorsorge im Ultraschall zum ersten Mal euer Baby sehen Was für ein tolles Gefühl, das winzige Herz schlagen zu sehen und bereits Kopf und Armknospen erkennen zu können!.
#schwanger #schwangerschaft #D_SSK #SchwangerschaftVideos #Baby http//deinschwangerschaftskalenderde/8ssw/ Rezept IngwerLollies http//deinschwangersc. SSW nur eine einzige Untersuchung vorgesehen, aber die meisten Gynäkologen wollen Schwangere schon vor der 10 SSW zum ersten Mal sehen Das kann in dieser Schwangerschaftswoche untersucht werden Gebärmutterhalskrebs (Abstrich) Eileiterschwangerschaft;. Ultraschall 8 Ssw Unterschiedliche Geräte, dadurch schon Messungenauigkeiten In der ersten Zeit wo alles sehr klein ist nicht ungewöhnlich Selbst wenn der gleiche Arzt an verschiedenen en am gleichen Gerät misst, misst er nie 100% genau.
Wir sagen euch, was vor der ersten Untersuchung wichtig zu wissen ist. Sollte es nicht bereits schon geschehen sein, ist in der 8 SSW die 1 Untersuchung fällig Zudem sollten Sie von jetzt an alle 4 Wochen zum Arzt gehen Bei einer normalen Schwangerschaft sind 12 Vorsorgeuntersuchungen vorgesehen Die 1. SSW 8 – Entwicklung von Gewichtszunahme und Größe in der Schwangerschaft nach Schwangerschaftswochen Bis zur Woche misst man von Scheitel bis Steiß, nach diesem Termin wird das Baby bis zur Geburt von Scheitel bis Ferse vermessen.
Mehrlinge entdecken (Ultraschall) Alter des Embryos (Ultraschall). 8 ssw und auf ultraschall ist nichts zu sehen Hallo, ich habe einen Schwangerschaftstest gemacht, er war positiv Ich war auch schon beim FA aber der FA hat auf dem Ultraschall nichts gesehen aber der hcg wert im blut steigt. Blutungen in der 8SSW, kommen häufiger vor als man glauben magIn den meisten fällen bedeutet dies keine Gefahr für die werdende Mutter und ihr Baby Oftmals werden diese Blutungen in der 8SSW mit der Regelblutung verwechselt, was jedoch nicht der Fall sein kann, wenn man schwanger ist.
8 SSW Embryo zu klein die SSL 3,5 mm wurde bei 73 gemessen (Mittwoch), wäre aber ja trotzdem zu klein Kann das Kleine ungünstig gelegen haben?. Hier finden Sie alle aktuellen Beiträge zum Thema Ultraschall 8 SSW Alles rund um das Thema Ultraschall 8 SSW GesundheitsMagazinnet. Ansicht der Antworten wählen untereinander öffnen Baumansicht zurück Geschrieben von Lena915, 7 SSW am 0113, 6 Uhr 8 SSw Ultraschall, was sieht man?.
Der Ultraschall Vor dem Beginn der 8 SSW unterscheidet sich der menschliche Embryo kaum von denen anderer Säugetiere In der siebten Schwangerschaftswoche sieht man am Embryo langsam die menschlichen Formen und Ansätze von Ärmchen und Beinchen Das ändert sich nun allerdings schlagartig Wenn ihr in der 8. Schwangerschaftswoche (SSW) Vom Pünktchen bis zum Gummibärchen – der Embryo bekommt ein menschliches Gesicht In dieser Phase erhalten die meisten werdenden Mütter eine Bestätigung für ihre Schwangerschaft, der erste Ultraschall beim Gynäkologen steht an In der 6. 8 SSW Ultraschall, Bauch, Entwicklung nd Symptome Nun bist du schon etwa 6 Wochen schwanger und dein Baby hat wieder deutlich an Größe gewonnen Der Embryo misst nun, in der 8 SSW circa 15 Millimeter, vom Scheitel bis hin zum Steiß, also die SSL (ScheitelSteißLänge).
8 SSW Embryo zu klein die SSL 3,5 mm wurde bei 73 gemessen (Mittwoch), wäre aber ja trotzdem zu klein Kann das Kleine ungünstig gelegen haben?. Autor Thema rechnerisch 8ssw aber laut Ultraschall nur 6 ssw (Gelesen mal). Ansicht der Antworten wählen untereinander öffnen Baumansicht zurück Geschrieben von Lena915, 7 SSW am 0113, 6 Uhr 8 SSw Ultraschall, was sieht man?.
Antwort von Tinscha87, 18 SSW am 0113, 950 Uhr Bei mir war in der 9 ssw ein kleines Gummibärchen zu sehen Kopf , arme und das pochende herz , Füße noch nicht und ab der 13 ssw wurde bei mir über den bauch geschallt und in der 17 ssw haben wir erfahren dass es ein junge wird !. In der 8 SSW ist der kleine Embryo etwa 1,5 cm groß Auf dem Ultraschall sind bereits Ansätze von Finger und Zehen zu sehen So entwickelt sich Dein Baby in der 8 SSW Die Entwicklung des ganzen Körpers und einzelner Organe des Kleinen schreiten voran In der 8 SSW ist die Leber als Wulst zwischen Herz und Nabelschnur erkennbar. 8 ssw und noch kein Herzschlag zu sehen Hallo, richtig ist, dass wir Herzaktionen etwa ab der 7/8 SSW im Ultraschall nachweisen Das setzt aber voraus, dass sie Schwangerschaft dann auch zeitgerecht entwickelt ist Wenn die Schwangerschaft also vielleicht viel jünger ist, werden wir die Herz entsprechend später sehen.
In der 8Schwangerschaftswoche (70 bis 76) ist Ihr Baby 1,5 g schwer und 9 mm groß (SSL ScheitelSteißLänge) Der Kopf ist immer noch der größte Körperteil ihres Babys, aber langsam beginnt der Embryo auszusehen wie ein MiniaturMensch. Habe am Dienstag einen Termin beim Arzt, bin dann 72 Was wird auf dem Bild zu erkennen sein?. SSW 8 Deinem Baby wachsen Finger, Zehen und Augenlider Auf dem ersten Ultraschallbild deines Babys, das du in SSW 8 anfertigen lassen kannst, wird noch nicht allzu viel zu erkennen sein Dein Kind, das sicher und bequem in deiner Fruchtblase ruht, besitzt bereits seit der 7 SSW Arme, Beine und die Anlagen für die wichtigsten Organe In der 8.
8 SSW Ultraschall Das ist zu sehen Am Ende des zweiten Monats der Schwangerschaft (8 Woche) ist aus dem mikroskopisch kleinen Zellklümpchen ein 9 bis 16 Millimeter großer Minimensch geworden Er hat jetzt winzige Hände und Füße, wobei sich die oberen Extremitäten etwas „schneller“ entwickeln als die unteren. Habe am Dienstag einen Termin beim Arzt, bin dann 72 Was wird auf dem Bild zu erkennen sein?.

Die Kunst Ordination Dr Gerhard Mursch Edlmayr A 4040 Linz Facharzt Fur Gynakologie Und Frauenheilkunde

Normale Schwangerschaft

8 Ssw 8 Schwangerschaftswoche Grosse Entwicklung 9monate De

Ssw 7 8 Der Erste Arzttermin Spiesserinnen

8 Ssw Schwangerschaftswoche Onmeda De

9 Ssw 9 Schwangerschaftswoche Grosse Entwicklung 9monate De

5 8 Ssw Schwangerschaftswoche Die Ersten Zwei Monate
1

8 Ssw Schwangerschaftswoche Onmeda De

Der Dottersack Ein Wichtiger Marker Beim Ultraschall In Der Fruhschwangerschaft Springerlink

Ultraschall 8ssw Schwangerschaft Ultraschallbild

Mutterpass Archives Franz Christian Jonas Frauenarztfranz Christian Jonas Frauenarzt

Ultraschall In Der Schwangerschaft Familie De

8 Ssw Dottersack Kein Embryo Zu Sehen Kinder Schwangerschaft Frauenarzt

Ultraschallbilder Mehr Als 50 Bilder Aus Der Schwangerschaft Faminino
Q Tbn And9gcsxnkvfhvs1hax6yanqmfd Tit5kxjmgneam2u6iffvejhhunsr Usqp Cau

9 Ssw Schwangerschaftswoche Carlas ebuch

9 Ssw 9 Schwangerschaftswoche Dein Baby Hat Jetzt Mund Lippen Hallo Eltern

8 4 Ssw Ultraschall Bild Forum Schwangerschaft Urbia De

8 Schwangerschaftswoche 8 Ssw Embryo Schwangerschaft Schwangerschaftstest

Zwillinge In Der 8 Woche Ssw7 Seite 3 Babywelten Ch

Fruchthohle An Einer Seite Spitz 8 Ssw Ultraschall In Der Schwangerschaft 9monate De

Normale Schwangerschaft

8 Woche Baby Lt Fa Zu Klein Schwanger Wer Noch

Schwangerschaft 7 Woche 7 Ssw Ultraschallbilder

Frauenarztpraxis Dr J Mertens

Ultraschallbilder Mehr Als 50 Bilder Aus Der Schwangerschaft Faminino

8 Ssw Dottersack Und Kein Embryo Schwangerschaftsgruppe Babycenter

Ultraschallbilder Mehr Als 50 Bilder Aus Der Schwangerschaft Faminino

8 Ssw 8 Schwangerschaftswoche D Ssk De Youtube

Bildergebnis Fur 8 Ssw Ultraschall Bilder Ultraschall Ssw

Ssw 8 Erste Ultraschalluntersuchung Schwangerschaftsubelkeit Schwangerschafts Update Youtube

Familie Gallasch

Ultraschall 8 Ssw Ohne Anzeichen Forum Schwangerschaft Urbia De

8 Schwangerschaftswoche Ssw Liliput Lounge

10 Ssw Woher Kommt Ziehen Im Unterleib Bauch Babyentwicklung Hallo Eltern

Praxis Veltmann Heinig Schwangerschaft

7 Ssw Das Passiert In Der 7 Schwangerschaftswoche Netmoms De

Herz An Herz Kind 3 Nullpunktzwo

Infothek Genetikum Pranatale Diagnostik Stellenwert Der Humangenetik

Ich Lass Die Korken Knallen Nullpunktzwo

Schwangerschaftskalender Entwicklung Von Der 1 Bis 40 Ssw

Zwillingsschwangerschaft

5 8 Ssw Schwangerschaftswoche Die Ersten Zwei Monate
:fill(fff,true):no_upscale()/praxistipps.s3.amazonaws.com%2Fstyles%2Fmanual_crop%2Fs3%2F2020-08%2Fschwanger%2520-%2520%2528Mutterpass%2520und%2520Babyschuhe%2520sowie%2520Ultraschallbild%2529%2520%2520Mylene2401%2520.jpg%3Fitok%3DyA3vHPYo)
8 Ssw Das Ist Auf Dem Ultraschall Zu Erkennen Focus De

Ultraschall

Schwangerschaft

Pin Auf Faminino Der Blog

8 Ssw Kein Herzschlag Schwangerschaft

Ultraschallmesswerte Biometrie Die Ultraschalltermine Ultraschalluntersuchungen Untersuchungen Medizinisches Schwangerschaft Swissmom Ch

Der Dottersack Ein Wichtiger Marker Beim Ultraschall In Der Fruhschwangerschaft Springerlink

Embryo Viel Zu Klein Mache Mir Sorgen
Q Tbn And9gctgkec4rzmqqw7reyr3kq5h8w2rmqqstj3ynobi 0hpu Yc8udn Usqp Cau
8 Woche Wireltern Ch

9 Ssw Die 9 Schwangerschaftswoche Auf Einen Blick Netmoms De

Ultraschall Fehldiagnosen Geburt In Eigenregie

ᐅ 8 Ssw Schwangerschaftswoche Alle Infos Grosse Entwicklung

Von Der 8 Und 9 Ssw Tipps Fur Eltern Baby Kind Und Meer
8 Woche Wireltern Ch

8 Ssw Youtube

Dr Mende Frauenarzt Oberstdorf Oberallgau Ultraschallbilder

Ultraschallbilder Schwangerschaft

Ultraschallbilder Mehr Als 50 Bilder Aus Der Schwangerschaft Faminino

2 Ultraschallbild 9 Ssw 8 0 Meine Erste Schwangerschaft

5 2 Ssw Schwangerschaft Ultraschall

Ultraschall 8 Ssw Was Du Wissen Solltest

Praxis Ultraschall

8 Ssw Entwicklung Gewicht Grosse Anzeichen Symptome

8 Ssw Schwangerschaftswoche Anzeichen Ultraschall Co Netdoktor At

Ultraschall In Der 8 Bis 12 Ssw Netdoktor At

Ultraschall Weicht Ab Von Ssw Schwangerschaftsgruppe Babycenter

Zwillinge In Der 8 Woche Ssw7 Babywelten Ch

Ultraschall Zwillinge Forum Schwangerschaft Urbia De

6 Ssw 6 Schwangerschaftswoche Grosse Entwicklung 9monate De

8 Ssw Die 8 Schwangerschaftswoche Auf Einen Blick Netmoms De

10 Ssw Die 10 Schwangerschaftswoche Auf Einen Blick Netmoms De

Der Dottersack Ein Wichtiger Marker Beim Ultraschall In Der Fruhschwangerschaft Springerlink

10 12 Ssw Zwillingsschwangerschaft Leidenschaft Leben Lieben Lernen

Praxis Dr Seidenfus Schwangerschaft

8 Schwangerschaftswoche 8 Ssw Mamiweb De

Schwangerschaft

3d 4d Ultraschall Frauenarzte Hannover

Dein Baby Im Ultraschall Mamiwiki

Zwillingsschwangerschaft

Schwangerschaftskalender 8 Ssw
Q Tbn And9gcqcjuyszm0bb29sp4ycolbyy5h0sspqkamfhsdzasadgee3oejf Usqp Cau

Schwangerschaft

Schwangerschaft
8 Woche Wireltern Ch

7 Ssw Schwangerschaftswoche Anzeichen Ultraschall Co Netdoktor At

8 Ssw 8 Schwangerschaftswoche Welche Augenfarbe Hat Mein Baby Hallo Eltern

Abbildung 2a B Gyn Ultraschall

ᐅ 8 Ssw Schwangerschaftswoche Alle Infos Grosse Entwicklung

Von Der 8 Und 9 Ssw Tipps Fur Eltern Baby Kind Und Meer

Ultraschall 8 Ssw Forum Fur Dezember Mamis

Plotzlich Zwillinge 1 Wie Es Ist Mit Zwei Babys Schwanger Zu Sein Da Hog N Onlinemagazin Ausm Woid

Ultraschall 8 Woche Und 3 e 18mm Youtube

1 Ultraschall Forum Fur Dezember 18 Mamis