Hautpilz Augenlid

Hausmittel Gegen Geschwollene Augen Und Augenlider Augenlid Hausmittel Augen

Hautpilz So Erkennen Und Behandeln Sie Die Verschiedenen Arten

Hautkrankheiten Erkennen Mit Bildern

Hautpilz Im Gesicht So Werden Sie Ihn Schnell Los

Hautpilz Im Gesicht Erkennen Und Loswerden Die Besten Tipps Focus De

Hautprobleme Die Meistgelesenen Fragen
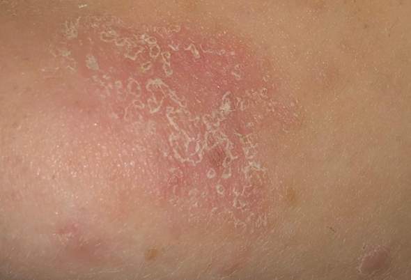
Der Hautpilz im Gesicht ist zwar seltener als beispielsweise der Fußpilz, doch er ist nicht weniger unangenehm Beim Angriff auf die Gesichtshaut liegt die Besorgnis eher in der ästhetischen Hinsicht Diagnostiziert wird der Hautpilz durch das Betrachten der befallenen Haut sowie durch einen Abstrich, welcher im Labor auf die Erreger untersucht wird.

Hautpilz augenlid. Ich habe Hautpilz und zwar auch am Augenlid Ich schmiere mir das immer ein und habe das Gefühl, dass was davon ins Auge kommt Ist das schädlich?. Ringworm ist ein Hautzustand durch rote, schuppige, ringförmigen Flecken markiert und wird durch verschiedene Arten von Pilzen, die warmen Klimazonen bevorzugen verursacht. Das umfangreichste Buch für Krankheiten von Schafen, Ziegen und Hirschen Das Standardwerk für alle Halter von Kleinwiederkäuern.
Fütterungsunabhängige Ursachen für Pigmentverlust. Hautpilz auf augenlid behandlung?. Kühlen, kühlen, kühlen Sollte es sich um die Folge eines Insektenstiches handeln, besorge Dir eine leicht cortisonhaltige Salbe (in Deutschland zB Fenistil Hydrocort) Mehr kannst.
In Stadium 3 einer systemischen Pilzinfektion treten oft andere, lokal begrenzte Arten von Pilzinfektionen auf, wie Hautpilz, Nagelpilz, Pilz auf der Kopfhaut usw Diese Pilzinfektionen kann das Immunsystem unter normalen Umstände ansonsten unterdrücken. 1 Warzen Auch das Bestehen von Warzen ist aus homöopathischer Sicht und bei ansonsten sich vollkommen gesund fühlenden Menschen ein Hinweiszeichen, dass der Organismus „ein Problem hat”, das aber (noch) nicht zu anderen Krankheiten geführt hat. Zuletzt aktualisiert am 29 September um 2252 Neurodermitis ist eine chronischentzündliche, allergisch bedingte Hauterkrankung, die in Deutschland etwa fünf Millionen Menschen betrifft Doch wie sieht Neurodermitis konkret aus?.
Wenn Hautpilz an der Hand auftritt, sprechen Mediziner von Handpilz (Tinea manuum oder Tinea Manus) Handpilz kann zu ernsthaften Funktionseinschränkungen führen, weshalb er behandelt werden sollte Typisch für diese eher selten auftretende Pilzerkrankung sind Rötungen, Schuppung und Bläschen, oft begleitet von Juckreiz möglich. Deshalb sollten Sie Ihren Heißhunger nach Süßem als das Verlangen der Candida Pilze nach Nahrung verstehen und diese nicht zusätzlich züchten. Während ein einfacher Hautausschlag am Augenlid in der Fachsprache „Exanthem“ genannt wird, heißt eine Entzündung am Augenlid „Ekzem“ Unter Umständen kann der Ausschlag sich so entwickeln, dass es zur weißlichen Verfärbung, zu Schuppen, zu Krusten, Pusteln, Quaddeln und nässenden Ausschlägen kommt.
ROCHE POSAY Hydraphase Intense Augen Creme 15 ml 18,50€ in stock 4 neu von 14,49€ Kostenloser Versand Kaufen >>> Amazonde ab 30 Dezember 125 Eigenschaften CSTLL Geschwollene Augenlider Wer kennt das nicht Man wacht am Morgen auf und sieht im Spiegel geschwollene Augenlider (ein einzelnes geschwollenes Augenlid ist selten). Oberflächliche und tiefe palpebromikozy kann im Wesentlichen durch pathogene und opportunistische Pilze auf den Menschen, mit dem Alter oft geht auf Binde und Auge verursacht wird , Apfel, dringt in die Umlaufbahn, obwohl es möglich ist , und ihre Ausbreitung umkehren Häufiger als andere Mykosen gibt es Läsionen des Alters von Candida albicans In diesem Teil des Auges von Hefewie Pilz. Augenlid Dermatitis ist eine Hautentzündung, die auf die Augenlider auf Es kann trockene, schuppige Haut an den Augenlidern oder ein juckender Hautausschlag zu erstellen, abhängig von der genauen Art der Entzündung.
Wie erkennt man es?. Weißen Hautkrebs richtig behandeln "Der allgemeingültige Standard ist die Operation, insbesondere im Gesicht", sagt Voigt Dabei schneiden die Hautärzte den Tumor großflächig heraus, damit auch möglichst alle bösartig veränderten Zellen entfernt werden. Hausmittel sollten Sie hier höchstens begleitend einsetzen Ein unzureichend behandelter Hautpilz kann nämlich chronisch werden und manchmal sogar auf innere Organe übergreifen Das kann unter Umständen zu lebensbedrohlichen Komplikationen führen!.
Hautpilz bei Pferden (Dermatomykosen) Die meisten oberflächlichen Erreger für Hautpilz heißen Microspermum und Trichophyton Diese gehören zu den oberflächliche Pilzinfektionen Eine Pilzinfektion beginnt oft mit kleinen Knötchen auf der Haut, später fallen Haare aus und es bleibt ein krustige, verschorfte und schuppige Haut zurück. Es gibt einige unterschiedliche Arten von Pilzen, die Hautpilze verursachen können, sodass ein Erkennen dieser Hautkrankheit anhand von Bildern nicht immer eindeutig möglich ist Für viele Hautpilzarten typische Symptome sind jedoch runde, gerötete Hautstellen, die einige Zentimeter groß werden können Vor allem am Rand dieser Hautstellen bilden sich zudem Schuppen. Pigmentstörungen beim Hund Was sind Pigmentstörungen?.
Die Traditionelle Chinesische Medizin – eine jahrtausendalte Heilkunst in einer modernen Welt Die Traditionelle Chinesische Medizin (TCM) ist eine über 00 Jahre alte Heilkunst, die klassisch aus 5 Säulen besteht Hierzu zählt die – hierzulande am weitesten verbreitete – Akupunktur, die Ernährungslehre, die Arzneimitteltherapie, die Tuina (eine manuelle Therapie) und die. Bei Fußpilz Lamisil – was hilft gegen Fußpilz besser als das bewährte Medikament, mit dem Sie die Erreger wirkungsvoll und dauerhaft abtöten. Propolis alle Infos zum Einsatz von Propolis in der Dermatologie von Dr Harald Bresser, Ihr Hautarzt in München informiert und berichtet.
BasaliomBilder Auf dieser Seite lernen Sie die verschiedenen Gesichter des Basalioms kennen Wenn Sie diese BasaliomBilder aufmerksam durchstudiert haben, sind Sie in der Lage eine Reihe von verdächtigen Hautveränderungen als solche zu erkennen. Gerät Teebaumöl in die Augen, sollte man diese sofort ausspülen und ggf einen Arzt kontaktieren Hier erfahren Sie genau, was man bei Augenkontakt mit Teebaumöl tun muss. Deshalb sollten Sie Ihren Heißhunger nach Süßem als das Verlangen der Candida Pilze nach Nahrung verstehen und diese nicht zusätzlich züchten.
Hautpilz Haut & Alkohol Haut & Hormone Haut & Rauchen Man unterscheidet sie in innere und äußere, je nachdem, wo am Augenlid sie entstehen Äußeres Gerstenkorn Anfangs zeigt sich ein kleiner, entzündlich geröteter Knoten am äußeren Lidrand, der mit Eiter gefüllt ist Dieses Gerstenkorn sorgt für ein unangenehmes Spannungsgefühl. Atopisches Ekzem Obwohl hierbei oft von einer endogenen (von innen kommenden) Form gesprochen wird, lösen vor allem äußere Ursachen das atopische Ekzem – besser bekannt als Neurodermitis – aus Betroffene haben meist eine Veranlagung zu einer leichter irritierbaren und empfindlicheren Haut Sie werden Atopiker genannt. In Stadium 3 einer systemischen Pilzinfektion treten oft andere, lokal begrenzte Arten von Pilzinfektionen auf, wie Hautpilz, Nagelpilz, Pilz auf der Kopfhaut usw Diese Pilzinfektionen kann das Immunsystem unter normalen Umstände ansonsten unterdrücken.
Hautpilz Bilder Die verschiedenen Arten im Überblick (c) rodrigobellizzi / Fotolia zurück 1 von 8 weiter Ringelflechte (Tinea corporis) Eine Ringelflechte kann fast überall am Körper vorkommen, besonders aber an Rumpf, Armen und Beinen Sie zeigt sich in kreisförmigen, geröteten Pusteln, die manchmal jucken können. Auf diese Lebensmittel sollten Sie während der Candida Diät verzichten #1 Zucker jeder Art Hefepilze sind ZuckerJunkies!. Pigmentstörungen beim Hund Was sind Pigmentstörungen?.
Anzeichen sind ein geschwollenes Augenlid, geschwollene Bindehaut, ein gerötetes, tränendes und (morgens) verklebtes Auge, Lichtscheu und Blendempfindlichkeit sowie ein Druck oder Fremdkörpergefühl im Auge Je nach Ursache betrifft die Entzündung nur ein Auge oder aber beide Augen. Ein Ekzem am Auge ist unangenehm Zeigt sich die Entzündung der betroffenen Hautstelle zuerst mit einer kleinen Rötung, kommen im weiteren Verlauf oft starker Juckreiz, Schwellungen, Schuppung. Sehen Sie hier Neurodermitis Bilder, die diese Fragen beantworten.
Die Haut ist das größte Organ des menschlichen Körpers Ihre Funktion für den menschlichen Organismus ist von immenser Bedeutung und reicht von Temperaturregulation über Sinneswahrnehmung bis hin zur Abwehr von schädlichen UVStrahlen und Mikroorganismen 1Ebenso vielfältig wie ihre Funktionen sind auch die Probleme, die an der der Haut entstehen können Von außen herbeigeführte. Hautpilz selbst behandeln – die wichtigsten Tipps Auch wenn viele Antimykotika rezeptfrei erhältlich sind, sollten Sie die Behandlung mit einem Arzt abklären Er kann das Mittel auf den genauen Erreger abstimmen Diejenigen, die schon einmal eine Hautpilzinfektion hatten, oder wenn die Erkrankung nur sehr schwach ausgeprägt ist, kann eine. Pilze befallen häufig Haut, Schleimhäute oder Nägel Nur in seltenen Fällen ist ein ganzes Organ oder der gesamte Körper vom Pilzbefall betroffen Mit einem Antimykotikum behandeln Sie Pilzinfektionen (Mykosen) Anwendungsgebiete von Antimykotika Ärzte setzen Antimykotika zur Behandlung von verschiedenen Arten des Pilzbefalls ein Dazu zählen Hautpilz (Dermatomykosen) Fußpilz (Tinea.
ROCHE POSAY Hydraphase Intense Augen Creme 15 ml 18,50€ in stock 4 neu von 14,49€ Kostenloser Versand Kaufen >>> Amazonde ab 30 Dezember 125 Eigenschaften CSTLL Geschwollene Augenlider Wer kennt das nicht Man wacht am Morgen auf und sieht im Spiegel geschwollene Augenlider (ein einzelnes geschwollenes Augenlid ist selten). Fütterungsunabhängige Ursachen für Pigmentverlust. Symptome Kopfpilz Juckreiz, abbrechende Haare, kahle Stellen Ist die Kopfhaut infiziert (Tinea capitis), verursacht der Katzenpilz runde Stellen, bei denen die Haare kurz über der Hautoberfläche abbrechen, bis sich kahle Flächen ergeben – Hautärzte bezeichnen das Phänomen auch als "gemähte Wiese".
Zuletzt aktualisiert am 29 September um 2252 Neurodermitis ist eine chronischentzündliche, allergisch bedingte Hauterkrankung, die in Deutschland etwa fünf Millionen Menschen betrifft Doch wie sieht Neurodermitis konkret aus?. Bei Fußpilz Lamisil – was hilft gegen Fußpilz besser als das bewährte Medikament, mit dem Sie die Erreger wirkungsvoll und dauerhaft abtöten. Anwendungsgebiete Natamycin hat sein Einsatzgebiet ua bei der Fusariuminfektion der Hornhaut am AugeEine Besserung der Symptome kann bereits schon nach zwei en erwartet werden Bevor man dieses Medikament einsetzt, sollte man durch eine Erregerbestimmung sichern, dass es sich tatsächlich um einen Pilz handelt und dass dieser Pilz auch gegen den Wirkstoff empfindlich ist.
Ich habe Hautpilz und zwar auch am Augenlid Ich schmiere mir das immer ein und habe das Gefühl, dass was davon ins Auge kommt Ist das schädlich?. Weißen Hautkrebs richtig behandeln "Der allgemeingültige Standard ist die Operation, insbesondere im Gesicht", sagt Voigt Dabei schneiden die Hautärzte den Tumor großflächig heraus, damit auch möglichst alle bösartig veränderten Zellen entfernt werden. Hautpilzbehandlung mit Essig Gegen Hautpilz ist Apfelessig als Hausmittel bekannt Bei Fußpilz sollen zum Beispiel Essigsocken helfen Dazu rührt man sechs Esslöffel Apfelessig in 0 Milliliter Wasser ein, taucht Baumwollsocken hinein und.
Schuppige Augenlider Schuppige Augenlider sind die sichtbare Folge trockener Ober und Unterlider Da die Haut in diesem Bereich dünn und empfindlich ist, trocknet sie rasch aus Schuppige Augenlider sind sehr unangenehm und gehen oft mit Juckreiz einher. Zuletzt aktualisiert am 29 September um 2214 An verschiedenen Körperstellen haben sich bei Ihnen rote, entzündete Punkte gebildet Sie sind unterschiedlich rötlich und auffällig schuppig. Pilzerkrankungen des behaarten Kopfes Als Kopfpilz (Tinea capitis) bezeichnet man Pilzerkrankungen des behaarten Kopfes, der Augenbrauen und Wimpern, überwiegend durch Erreger der Gattungen Microsporum canis (in Österreich ca 85 Prozent der Fälle) und Trichophyton tonsurans (im angloamerikansichen Raum vorherrschend) Betroffen sind va Klein und Schulkinder.
Hautpilz beim Pferd Ladendruck Beschälseuche Im nasalen Augenwinkel bildet sie das „dritte Augenlid“, die sogenannte Nickhaut, die beim Hund geschützt unter dem Knorpel des inneren Augenwinkels liegt Durch ihre eingelagerten Drüsen dient die Bindehaut ua zur Befeuchtung des Auges. Hat sich ein Pilz auf der Kopfhaut festgesetzt, zeigt sich dies nicht nur durch Schuppen Welche weiteren Symptome bei dieser Hauterkrankung auftreten und wie die Pilzinfektion behandelt wird, erfahren Sie in diesem Gesundheitstipp. Brennendes Gefühl am Augenlid Einleitung Das Gefühl einer stellenweisen Taubheit oder von Nadelstichen oder einer Form von Brennen, Kribbeln oder Kriechen auf der Haut wird als Parästhesie bezeichnet Die Symptome können als Kribbeln (Parästhesie) beginnen und sich dann zu einer Taubheit weiterentwickeln, oder es kann eine Kombination aus reduzierter Wahrnehmung und gelegentlicher, oder.
Österreichs unabhängiges Gesundheitsportal informiert Sie über Krankheiten, Symptome, Therapien, Medikamente und Laborwerte. Kaum zu glauben, kennen wir doch alle den Namen, aber wissen gar nicht was es alles kann!. ArtNr PZN Gebinde 262 Öl 10 ml Öl 50 ml 260 Öl 100 ml Öl 250 ml Öl 1000 ml.
Brennendes Gefühl am Augenlid Einleitung Das Gefühl einer stellenweisen Taubheit oder von Nadelstichen oder einer Form von Brennen, Kribbeln oder Kriechen auf der Haut wird als Parästhesie bezeichnet Die Symptome können als Kribbeln (Parästhesie) beginnen und sich dann zu einer Taubheit weiterentwickeln, oder es kann eine Kombination aus reduzierter Wahrnehmung und gelegentlicher, oder. Rizinusöl ein Wundermittel !. BasaliomBilder Auf dieser Seite lernen Sie die verschiedenen Gesichter des Basalioms kennen Wenn Sie diese BasaliomBilder aufmerksam durchstudiert haben, sind Sie in der Lage eine Reihe von verdächtigen Hautveränderungen als solche zu erkennen.
Es gibt einige unterschiedliche Arten von Pilzen, die Hautpilze verursachen können, sodass ein Erkennen dieser Hautkrankheit anhand von Bildern nicht immer eindeutig möglich ist Für viele Hautpilzarten typische Symptome sind jedoch runde, gerötete Hautstellen, die einige Zentimeter groß werden können Vor allem am Rand dieser Hautstellen bilden sich zudem Schuppen. MedLexide ist Ihr Lexikon für Medizin, Gesundheit und Wohlbefinden Wir berichten über Symptome, Krankheiten, Ursachen, Diagnosen, Therapien, Behandlungen & Vorbeugung von Beschwerden, sowie über die Anatomie des Menschen Auch Medikamente, Medizinprodukte, Wirkstoffe, Hausmittel und Heilpflanzen werden anschaulich erklärt. Atopisches Ekzem Obwohl hierbei oft von einer endogenen (von innen kommenden) Form gesprochen wird, lösen vor allem äußere Ursachen das atopische Ekzem – besser bekannt als Neurodermitis – aus Betroffene haben meist eine Veranlagung zu einer leichter irritierbaren und empfindlicheren Haut Sie werden Atopiker genannt.
Sehen Sie hier Neurodermitis Bilder, die diese Fragen beantworten. Das umfangreichste Buch für Krankheiten von Schafen, Ziegen und Hirschen Das Standardwerk für alle Halter von Kleinwiederkäuern. Als Abführmittel ist es Geschichte, ab.
Hautpilz bei Pferden (Dermatomykosen) Die meisten oberflächlichen Erreger für Hautpilz heißen Microspermum und Trichophyton Diese gehören zu den oberflächliche Pilzinfektionen Eine Pilzinfektion beginnt oft mit kleinen Knötchen auf der Haut, später fallen Haare aus und es bleibt ein krustige, verschorfte und schuppige Haut zurück. Österreichs unabhängiges Gesundheitsportal informiert Sie über Krankheiten, Symptome, Therapien, Medikamente und Laborwerte. Zinksalbe ist ein wirkungsvolles und altbewährtes Mittel zur Wundbehandlung Mittlerweile gibt es vielfältige Varianten Bei welchen Leiden du die Salbe anwenden kannst und was du berücksichtigen solltest, erfährst du im Folgenden.
Symptome Kopfpilz Juckreiz, abbrechende Haare, kahle Stellen Ist die Kopfhaut infiziert (Tinea capitis), verursacht der Katzenpilz runde Stellen, bei denen die Haare kurz über der Hautoberfläche abbrechen, bis sich kahle Flächen ergeben – Hautärzte bezeichnen das Phänomen auch als "gemähte Wiese". Hat sich ein Pilz auf der Kopfhaut festgesetzt, zeigt sich dies nicht nur durch Schuppen Welche weiteren Symptome bei dieser Hauterkrankung auftreten und wie die Pilzinfektion behandelt wird, erfahren Sie in diesem Gesundheitstipp. Auf diese Lebensmittel sollten Sie während der Candida Diät verzichten #1 Zucker jeder Art Hefepilze sind ZuckerJunkies!.

Hautpilz So Erkennen Und Behandeln Sie Die Verschiedenen Arten

Hautpilz

Dermatologie Dermatologie Dr Fritsch Dusseldorf

Die Vr Brille Das Tor In Eine Andere Welt Aumedo Wimpernwelle Wimpern Keratin Kur

Schuppige Augenbrauen Ursache Und Tipps Zur Behandlung Beauty Tipps Net

Neurodermitis An Den Augen Eau Thermale Avene

Allergisch Bedingte Hauterkrankungen Bei Hund Und Katze Tierarzt Dr Holter

Hautpilz Mit Hausmitteln Behandeln An Brust Rucken Hals Und Im Gesicht

Ekzem Am Auge Behandlung Mehr

Sichtbare Anzeichen Der Haut Fur Nahrstoffmangel

Sichtbare Anzeichen Der Haut Fur Nahrstoffmangel

Gerstenkorn Ursachen Und Behandlung

Aktuelles Aus Ihrer Post Apotheke Post Apotheke In Grevenbroich

Lidrandentzundung Ursachen Einer Augenlidentzundung All About Vision

Pilzerkrankungen Des Behaarten Kopfes Gesundheitsportal

Rosacea Focus Arztsuche

Hautpilz Im Gesicht Symptome Ursachen Und Behandlung Hefepilzinfektion Pilzinfektion Und Candida

Hautkrankheiten Erkennen Mit Bildern

Fibrom Arten Symptome Entfernen

Welche Formen Von Schuppenflechte Gibt Es Psoriasis Info

Sichtbare Anzeichen Der Haut Fur Nahrstoffmangel

Hagelkorn Gerstenkorn Trockene Augen Behandlung Hautinfo

Stielwarzen Aussehen Entstehung Entfernung Kanyo

Das Entzundete Lid Hautarztpraxis Geesthacht

Trockene Augenlider Ursache Symptome Therapie

Neurodermitis Bilder So Sieht Neurodermitis Aus Medumio

Candida Hefepilz Symptome Im Uberblick Candidapatient De

Hautpilz Symptome Und Behandlung Wie Erkenne Ich Einen Hautpilz

Pilzerkrankungen Naturlich Behandeln Heilpraxis Launhardt Berlin

Hautpilz Symptome Anzeichen Erkennen Behandlung Netdoktor

Dermatologie Dermatologie Dr Fritsch Dusseldorf

ᐅ Intertriginoses Ekzem Entstehung Symptome Und Behandlung Der Intertrigo

Seborrhoisches Ekzem Wikipedia

Seborrhoisches Ekzem Seborrhoische Dermatitis Derma Plus

Neurodermitis Bilder So Sieht Neurodermitis Aus Medumio

Rosacea Ursachen Und Behandlungsmethoden Gala De

Wenn Schimmelpilze Das Auge Zerstoren Universitat Wurzburg

Hautpilz So Erkennen Und Behandeln Sie Die Verschiedenen Arten

Neurodermitis Im Gesicht Auge Was Tun Tipps Co Kanyo

Hautpilz Symptome Anzeichen Erkennen Behandlung Netdoktor

Augenherpes Symptome Ansteckung Behandlung Kanyo

Hautpilz So Erkennen Und Behandeln Sie Die Verschiedenen Arten

Augensalben Gegen Pilze

Hautpilz Beim Baby Ursachen Symptome Und Behandlung

Stewardessenkrankheit Periorale Dermatitis Behandlung Tipps
Www Katzeninfo Com Hautpilz

Teebaumol Fur Die Augen Fur Augenlider Augenbrauen Was Tun Bei Augenkontakt

Hautpilz Behandlung Symptome Ursachen Gesundheit De

Hautpilz Focus Arztsuche

Hundeallergie Wuff Forum

Seborrhoisches Ekzem Deximed

Die Besten Ideen Zu Trockene Augen Trockene Augen Augen Selbsthypnose

Hautpilz Symptome Ansteckung Behandlung Kanyo

Hautpilz Beim Baby Ursachen Symptome Und Behandlung

Hautpilz Focus Arztsuche

Candida Hefepilz Symptome Im Uberblick Candidapatient De

Weiss Jemand Was Das Ist Wenn Ja Was Kann Ich Dagegen Tun Gesundheit Augen Heilung

Milien Das Kannst Du Gegen Hautgriess Tun Brigitte De

Trockene Augenlider Ursache Symptome Therapie

Lidrandentzundung Ursachen Einer Augenlidentzundung All About Vision

7 Hausmittel Gegen Trockene Augen Die Wirklich Helfen Desired De Trockene Augen Augentropfen Hausmittel

Augenerkrankungen

Quaddeln Und Pusteln Ursachen Behandlung Kanyo

Hautkrankheiten Erkennen Mit Bildern

Hautpilz So Erkennen Und Behandeln Sie Die Verschiedenen Arten

Was Kann Das Sein Und Wie Geht Das Weg Schmerzen Haut

Xanthelasmen Oder Cholesterineinlagerungen An Den Augenlidern

Candida Hefepilz Symptome Im Uberblick Candidapatient De

Wichtige Hauterkrankungen Von A Z

Ekzem Am Auge Behandlung Mehr

Alterswarzen Selbst Entfernen Geht Das

Pilzerkrankungen Am Korper Und Im Gesicht Gesundheitsportal

Konjunktivitis Wikipedia

Mundwinkel Entzundung Deximed

Gerstenkorn Ansteckend Wie Hoch Ist Die Ansteckungsgefahr Gerstenkorn Gerste Korn

Hautkrankheiten Erkennen Mit Bildern

Seborrhoisches Ekzem Deximed

Rosacea Focus Arztsuche
Blepharitis

Juckender Hautausschlag Pickel Und Pusteln Um Den Mund Herum Gesundheit Br Fernsehen Fernsehen Br De

Neurodermitis Ratselhafte Krankheit Pz Pharmazeutische Zeitung

Pilzinfektionen Aktuelles Bei Apomio De

Augenerkrankungen

Gefahr Kontaktlinsen Die Fatalen Folgen Einer Pilzerkrankung Am Auge Welt

Weisse Flecken Auf Der Haut Ursachen Diagnose Und Therapie

Hautpilz Symptome Anzeichen Erkennen Behandlung Netdoktor

Symptome Bei Trockenen Augen Trockene Augen Augen Training Gerotete Augen

Die Atopische Dermatitis Beim Erwachsenen Eczema Foundation

Hautkrankheiten Erkennen Mit Bildern

Rosacea Ursachen Und Behandlungsmethoden Gala De

Weisser Hautkrebs Basaliom So Sehen Die Symptome Aus

Hundekrankheiten Die Symptome Ursachen Behandlungsmoglichkeiten

Hautpilz Bei Der Katze Tiermedizinportal

Ulrich Kraft Focus Arztsuche