Halber Zahn Abgebrochen

Leistungen

Buttercup Kittensnatch A Twitter Opa Egon Hat Sich Einen Zahn Abgebrochen Und Ist Nur Noch Ein Halber Vampir Naja Auch Vampire Werden Alter

Zahnextraktion Zahne Ziehen Zahnarzt Dr Seidel

Zahnextraktion Die Letzte Moglichkeit Zahnziehen Stern De

W Zahn Abgebrochen Kosten Backenzahn Schneidezahn

Stuck Vom Zahn Wackelt Zahne
Wenn ein Zahn abgebrochen ist, steckt die Wurzel des Zahnes noch im Kiefer Nun hat man zwei Möglichkeiten Man kann diese Wurzel herausoperieren und eine Brücke, eine Prothese oder ein Implantat einsetzen, um die Lücke zu schließen Oder man prüft, ob man die verbliebene Wurzel verwenden kann, um darauf wieder eine Krone zu befestigen.

Halber zahn abgebrochen. Guten und danke schon Mal für Ihre Hilfe Ich habe vor etwa 1 Jahr ein Stück meines Mahlzahnes Rechts Oben (26) abgebrochen, da nach eine Kariesbehandlung nicht gründlich genug vorgenommen wurde (Im Ausland getätigt). Stück, Ecke, halber Zahn abgebrochen, was tun ?. Wenn ein Zahn locker ist, kann das viele Ursachen haben Egal, ob Parodontitis oder äußere Gewalteinwirkung, schnelles Handeln ist wichtig um Ihren Zahn zu erhalten Was Sie bei einem lockeren Zahn beachten sollten, erfahren Sie im folgenden Praxistipp.
Hallo gestern ist mir leider mein Zahn abgebrochen als ich auf dem Nachhauseweg ausgerutscht bin und auf einer Baumwurzel gelandet bin den 2 Teil von dem Zahn habe ich noch Ich bin 18 und fange in 3 Wochen meine Lehrstelle an Meine Mutter hat eine. Hallo gestern ist mir leider mein Zahn abgebrochen als ich auf dem Nachhauseweg ausgerutscht bin und auf einer Baumwurzel gelandet bin den 2 Teil von dem Zahn habe ich noch Ich bin 18 und fange in 3 Wochen meine Lehrstelle an Meine Mutter hat eine. Ich glaube, dass ich um ein Implantat nicht herumkomme.
1060K aufrufe12 Februar 13 mladen 11 Februar 13 0 Comments Guten Abend Herr DDr Belsky, wie Sie schon aus der Themenüberschrift feststellen können, handelt es sich um einen Backenzahn der vor ein paar Jahren auf der Innenseite bis zur Hälfte und bis zum Zahnfleisch abgebrochen ist, die Füllung ist noch drinnen Das ist auch, neben. Webseite Stück, Ecke, halber Zahn abgebrochen, was tun Domain wwwzahnarztxx Gesamtrelevanz Besucherfaktor Titelrelevanz Textrelevanz Textausschnitt. Zahn abgebrochene Kosten, Versuchung?.
Schmerzen bei Wurzelbehandlung der Zähne, Kosten für Kind, Erwachsene Milchzahn der ist ein abbrechen nicht mundschutzes Und wie hat sich das auf das Gebiss des Patienten ausgewirkt?. Heute morgen ist mir aufgefallen, dass bei Amonet der rechte obere Reißzahn abgebrochen ist Mittig, also auf halber Länge würde ich sagen Gesehen habe ich das weil sie mich angegähnt hat Sie frisst normal, verhält sich auch sonst nicht anders als sonst immer Ich kann also nicht genau. Bei einem Zahn, der unterhalb des Zahnfleischrandes abgebrochen ist, kannst du eine Wurzelbehandlung erwägen Wurzelbehandlungen können eingesetzt werden, um abgebrochene Zähne zu retten Bei dieser Behandlung wird das entzündete Gewebe entfernt, der Zahn versiegelt und der Wundbereich medikamentös behandelt, um einer weiteren Infektion.
Halber zahn abgebrochen blaue flecken bein Der ~ e, aber biegsame Mensch wird durch Bambus symbolisiert Wenn der Träumende die beiden Eigenschaften dieser Pflanze in sich erkennt, kann er mit Brüchen in seinem Charakter sinnvoll umgehen 965 Heute. Kein halber Zahn, nur ein Stück vom Zahn Laut der Zeitung "Express" hatte die 28Jährige bei einem späteren Konzert am Sonntag in Düsseldorf erzählt, sie habe "einen halben Zahn. Hallo, unser Welpe (4 Monate), steckt gerade mitten im Zahnwechsel und gestern ist mir aufgefallen, dass der eine Fangzahn/Eckzahn in der Mitte gespalten war und es hat auch geblutet Jetzt habe ich gerade gesehen dass jetzt die eine Hälfte fehlt und nur noch ein relativ kleines Stück da ist Es ist sehr sehr.
Ich glaube, dass ich um ein Implantat nicht herumkomme. Ist mir auch mal passiert Fail Sprung vom 10 Turm halber Zahn weg Einfach zum Zahnartzt gehen der muss gucken ob die Wurzel nicht beschädigt wurde, da sonst der Zahn absterben könnte Aber wenn es nur die Spitze ist sollte eigentlich alles ok sein. Möglichkeit 1 Zahn ankleben Wenn nur ein kleines Stück vom Schneidezahn abgebrochen ist, besteht die Möglichkeit, dass Ihr Zahnarzt dieses wieder an den Zahn klebt Vorausgesetzt aber, dass dieser a) noch vorhanden ist und b) sich in einem einwandfreiem Zustand befindet.
Einen Zahn oder mehrere Zähne im Traum zu verlieren, nimmt in der Traumanalyse verschiedene Bedeutungen an Im Folgenden möchten wir Ihnen die wichtigsten Traumsituationen rund um das Thema „Zahn fällt aus“ vorstellen;. Hi, ich bin gestern auf einer Geburtstagsparty mit einer Frau zusammengeprallt und dabei ist mir der halbe Vorderzahn abgebrochen Das Stück habe ich nicht mehr Es tut mir weh bei Temperaturunterschieden, oder wenn ich mit der Zunge dran rumpule J. Zahn abgebrochene Kosten, Versuchung?.
Lediglich 5% haben versucht ihren Zahn selbst zu reparieren Bei 62% ist schon einmal die Zahnfüllung herausgebrochen Bei 80% denen der Backenzahn abgebrochen ist, hatten danach keine Schmerzen Bei 48% ist schon mal eine Ecke des Schneidezahns abgebrochen Nach einer Wurzelbehandlung sind bei 21% danach der behandelte Zahn abgebrochen. Tochter zahn abgebrochen / Meine Tochter(7, 1klasse) hat sich heute den Zahn abgebrochen (halber schneidezahn bleibender weg) Nun Grübel ich die ganze zeit /. Der jährliche Zahnreport der Krankenkasse Barmer GEK analysiert die Erfolge von Wurzelbehandlungen Prozent der Zähne sind nach drei Jahren noch erhalten, manchmal folgten aber schmerzhafte.
Jetzt kostenlose Beratung anfordern Beim Sport, durch starke Krafteinwirkung oder auch infolge eines Unfalls kann ein Stück vom Zahn oder auch der gesamte Zahn abbrechen Meistens sind davon unglücklicherweise die gut sichtbaren Schneidezähne betroffen Inhaltsverzeichnis 1 Was tun?. Zahn mit Wurzel abgebrochen Sollte der Zahn vollständig, also mitsamt der Wurzel, abgebrochen sein, sollten Sie ihn umgehend in einer Zahnrettungsbox aufbewahren und transportieren Falls Sie keine Rettungsbox haben, suchen Sie schnellstmöglich eine Apotheke auf. Hallo zusammen,ich habe mal wieder ein kleine Sorgenschweinchen bei mir zuhauseEr heißt Benny ist ein US Teddy und wird am 2712 1 Jahr altUns ist gestern beim füttern aufgefallen das er bei Gurken, Karotten usw nicht mehr richtig abbeißen kannEr.
Manchmal geht es sehr schnell Ein Zusammenprall an einer Häuserecke, ein Sturz mit dem Rad oder sogar eine Schlägerei und schon ist ein Zahn abgebrochen Oder es ist nur ein kleines Stück vom Schneidezahn abgebrochenManchmal kommt es auch vor, dass Karies oder eine Wurzelkanalbehandlung die Stabilität eines Zahnes deutlich verringert, sodass er beim Kauen ebenfalls brechen kann. Mir ist vor ein paar Monaten ein halber Zahn abgebrochen Denn Rest hat er nach einer örtlichen Betäubung herausgerüttelt Honeysuckle18 1512, 1451 "Kamistad"Gel aus der Apotheke holen und dieses mehrmals täglich auf die betroffenen Stellen reiben Gute Besserung !. Markenzeichen Lenas Strahlelächeln betört Fans Instagram/lenameyerlandrut Welcher Beisser abgebrochen ist, wollte Lena nicht verraten In ihren InstagramStories ist vom fehlenden Stück derzeit nichts zu sehen Lena MeyerLandrut checkt nun, ob Zahn.
Möglichkeit 1 Zahn ankleben Wenn nur ein kleines Stück vom Schneidezahn abgebrochen ist, besteht die Möglichkeit, dass Ihr Zahnarzt dieses wieder an den Zahn klebt Vorausgesetzt aber, dass dieser a) noch vorhanden ist und b) sich in einem einwandfreiem Zustand befindet. Oje,gestren Abend ist mir mein halber zahn abgebrochen Muß morgen früh gleich zum Zahnarzt und hoffe das er den zahn wieder zusammen kriegt Bekommt man eigentlich noch ne Betäubung?????. Ein toter Zahn ist nicht immer mit Schmerzen verbunden und wird oft erst spät entdeckt (© gangliu10 iStock) So macht sich ein toter Zahn bemerkbar Ein Zahn kann ganz unbemerkt absterben und lange ohne Symptome bleiben Hier sind der Zahn und seine Umgebung entzündungsfrei, so dass kein Schmerz entsteht.
Ein toter Zahn ist nicht immer mit Schmerzen verbunden und wird oft erst spät entdeckt (© gangliu10 iStock) So macht sich ein toter Zahn bemerkbar Ein Zahn kann ganz unbemerkt absterben und lange ohne Symptome bleiben Hier sind der Zahn und seine Umgebung entzündungsfrei, so dass kein Schmerz entsteht. Das passiert beim Zahn zwar nicht, aber es kann passieren das mal ein Stück, Ecke oder halber Zahn abgebrochen ist Was man dann tun sollte ist möglichst schnell zum Zahnarzt zu gehen, denn eventuell hat man ja auch ziemliche Schmerzen Das kommt aber sicherlich auch auf die größe vom abgebrochenen Stück an Eine winzige Ecke ist erstmal. Zahn abgebrochen Behandlungsdauer und Kosten Muss der Zahn nur angeklebt werden, sind wenige Zahnarztbesuche erforderlich Außerdem bewegen sich die Kosten oftmals in einem geringfügigen Rahmen Zweistellige Eurobeträge sind in der Regel ausreichend Um den Zahn anzukleben, wird der Zahnarzt einen KunststoffKlebstoff verwenden.
Stück, Ecke, halber Zahn abgebrochen, was tun ?. Zahn abgebrochen Behandlungsdauer und Kosten Muss der Zahn nur angeklebt werden, sind wenige Zahnarztbesuche erforderlich Außerdem bewegen sich die Kosten oftmals in einem geringfügigen Rahmen Zweistellige Eurobeträge sind in der Regel ausreichend Um den Zahn anzukleben, wird der Zahnarzt einen KunststoffKlebstoff verwenden. Schmerzen bei Wurzelbehandlung der Zähne, Kosten für Kind, Erwachsene Milchzahn der ist ein abbrechen nicht mundschutzes Und wie hat sich das auf das Gebiss des Patienten ausgewirkt?.
Zahn abgebrochen wieder ankleben is important information accompanied by photo and HD pictures sourced from all websites in the world Download this image for free in HighDefinition resolution the choice "download button" below If you do not find the exact resolution you are looking for, then go for a native or higher resolution. Manchmal geht es sehr schnell Ein Zusammenprall an einer Häuserecke, ein Sturz mit dem Rad oder sogar eine Schlägerei und schon ist ein Zahn abgebrochen Oder es ist nur ein kleines Stück vom Schneidezahn abgebrochenManchmal kommt es auch vor, dass Karies oder eine Wurzelkanalbehandlung die Stabilität eines Zahnes deutlich verringert, sodass er beim Kauen ebenfalls brechen kann. Möglichkeit 1 Zahn ankleben Wenn nur ein kleines Stück vom Schneidezahn abgebrochen ist, besteht die Möglichkeit, dass Ihr Zahnarzt dieses wieder an den Zahn klebt Vorausgesetzt aber, dass dieser a) noch vorhanden ist und b) sich in einem einwandfreiem Zustand befindet.
Halber Zahn Rettung?. Sofern der Zahn so abgebrochen ist, dass die Nerv und Gefäßkammer freiliegt, besteht meist die einzige Möglichkeit darin, diesen mit einer Wurzelkanalbehandlung zu therapieren Ist der Zahn abgebrochen und das Pulpamark und die darin befindlichen Gefäße nicht durch Bakterien kontaminiert, besteht theoretisch die Möglichkeit, zu versuchen. Anschließend beleuchten wir die allgemeinen, psychologischen und spirituellen Anspekte zum Symbol näher.
Wenn Ihr Zahn abgebrochen ist und nicht mehr geklebt werden kann, kommt eine Zahnfüllung zum Einsatz Ist ein kleines Stück vom Zahn abgebrochen, werden diese mit kunststoffhaltigem Material wieder aufgebaut Sind die Schäden größer, wird meistens eine Teilkrone für die Zähne angefertigt, bei Bedarf erfolgt auch eine komplette. Mir ist vor ziemlich genau 4 Jahren bedingt durch Karies, sowie einen Fremdkörper in der Nahrung ein halber Backenzahn abgebrochen (Oben links, dritter Zahn von hinten) Der Zahnarzt meinte damals, das wäre absolut kein Problem Er hat die paar wenigen Kariesreste entfernt und den Zahn mit einer Kunststofffüllung wieder hergestellt. Beim ersten Mal ging's relativ flott, zehn, fünfzehn Minuten Es war nur noch ein halber Zahn mit halber Wurzel vorhanden Beim zweiten hat das Entfernen richtig lange gedauert, eine Stunde mindestens, wenn nicht noch länger Ein überkronter Zahn war wieder senkrecht gespalten, die Krone herunter gegangen.
Hi nochmal, mir steht in der nächsten Woche auch so eine Tortur bevor, da mir am Heiligabend ein halber Zahn abgebrochen ist *fürcht* Ich habe aber gute homöopathische Tipps bekommen (Danke, Luzi!) und hoffe, dass ich mit Notfalltropfen und Troststeinen alles gut überstehe. Kein halber Zahn, nur ein Stück vom Zahn Laut der Zeitung "Express" hatte die 28Jährige bei einem späteren Konzert am Sonntag in Düsseldorf erzählt, sie habe "einen halben Zahn. Zahn abgebrochen was machen is important information accompanied by photo and HD pictures sourced from all websites in the world Download this image for free in HighDefinition resolution the choice "download button" below If you do not find the exact resolution you are looking for, then go for a native or higher resolution.
1060K aufrufe12 Februar 13 mladen 11 Februar 13 0 Comments Guten Abend Herr DDr Belsky, wie Sie schon aus der Themenüberschrift feststellen können, handelt es sich um einen Backenzahn der vor ein paar Jahren auf der Innenseite bis zur Hälfte und bis zum Zahnfleisch abgebrochen ist, die Füllung ist noch drinnen Das ist auch, neben. Und mir dabei einen halben Zahn ausgeschlagen», sagt Lena dem «Express» Autsch!. Diskutiere Abgebrochener Zahn im Krankheiten und Kastration Forum im Bereich Meerschweinchen;.
Ist mir auch mal passiert Fail Sprung vom 10 Turm halber Zahn weg Einfach zum Zahnartzt gehen der muss gucken ob die Wurzel nicht beschädigt wurde, da sonst der Zahn absterben könnte Aber wenn es nur die Spitze ist sollte eigentlich alles ok sein. Wackelzahn abgebrochen hallo, meinem sohn ist heute der erste wackelzahn abgebrochen Die hälfte der wurzel steckt zur hälfte noch quer im zahnfleisch kann das so bleiben, schiebt der zweite Zahn den Rest der Wurzel raus war heute beim zahnarzt, der Zahnarzt hatte schon feierabend die sprechstundenhilfe war nur noch da und die Praxis war schon zu ich habe für morgen einen termin. Hallo, mir ist heute beim Essen ein Stück vom Backenzahn abgebrochen, eine ganze Ecke bis hinunter bündig mit dem Zahnfleich So ein ca 4mm X 4mm großes Stück Der Zahn hat immer mal wieder leicht geschmerzt beim Kauen von härteren Lebensmitteln,.
Ist ein kleines Stück abgebrochen, reicht es, die Stelle zu glätten Auch häufig Der Zahn verfärbt sich dunkel Eigentlich harmlos, doch die Stelle muss man beobachten Wandern Bakterien in die Verletzung ein oder dringen zum Zahnnerv vor (etwa, wenn ein größeres Stück Zahn abgebrochen ist), lösen sie eine Entzündung aus. Wenn ein Zahn locker ist, kann das viele Ursachen haben Egal, ob Parodontitis oder äußere Gewalteinwirkung, schnelles Handeln ist wichtig um Ihren Zahn zu erhalten Was Sie bei einem lockeren Zahn beachten sollten, erfahren Sie im folgenden Praxistipp. Welpe Zahn halb abgebrochen!.
Ist ein Zahn bereits vorgeschädigt, kann es tatsächlich zum spontanen Abbruch eines Zahnteils kommen Solche Vorschädigungen können verursacht sein insbesondere durch Zähneknirschen nachts und/oder tagsüber, was unter anderem zu Rissen in den Zähnen führt, und durch Rissbildungen in älteren Zahnfüllungen. ;) 1 Kommentar 1. Hallo, seid etwa 4 Monaten sind meine Tochter und ich stolze Besitzer 2 Meerschweinchen Mädels Gestern Morgen sitzt die eine der beiden in der.
Diskutiere Zahn abgebrochen im Krankheiten und Kastration Forum im Bereich Meerschweinchen;. Benötigen Sie Hilfe bei einem abgebrochenen Zahn?. Konkret ist damit gemeint, dass ein Zahn / Schneidezahn abgebrochen, ausgeschlagen, locker oder verloren gegangen ist Aus diesem Grund haben wir die wichtigsten Anzeichen für ein Zahntrauma in der folgenden Tabelle zusammengefasst Anzeichen eines Zahntraumas in Anlehnung an die WHOKlassifikation.
Der jährliche Zahnreport der Krankenkasse Barmer GEK analysiert die Erfolge von Wurzelbehandlungen Prozent der Zähne sind nach drei Jahren noch erhalten, manchmal folgten aber schmerzhafte. Halber anteriorer Zahn abgebrochen Was jetzt?.

Zahnnotfalle Bei Hunden Und Katzen Kleintierpraxis Dr Martin Zahner

Wie Baut Man Einen Abgebrochenen Zahn Auf Stumpfaufbau Youtube

Erhalt Extrem Zerstorter Zahne Zahnarzt Koln Maarweg

Wie Amalgamfullungen Zahnen Schaden Zahnarztmitte
Www Ztm Aktuell De Uploads Tx Spipdfarchive Ztm 1 18 Low Pdf

Ratgeber Zahnbrucke Kosten Arten Vor Und Nachteile
Zkn De Fileadmin User Upload Publikationen Nzb 17 Nzb 03 17 Pdf
Www Ztm Aktuell De Uploads Tx Spipdfarchive Ztm 1 18 Low Pdf

Was Tun Bei Einem Abgebrochenen Zahn

Traumdeutung Zahne Das Geheimnis Von Zahntraumen Ist Geluftet

Zahn Gebrochen Sofort Zahne Dass Ist Heute Moglich Youtube
Www Pnc Aktuell De Uploads Tx Spipdfarchive Pnc 2 18 Lowres Pdf

Zahn Abgebrochen Was Tun

Zahn Abgebrochen So Retten Sie Einen Abgebrochenen Zahn

Zahn Abgebrochen 6 Dinge Die Sie Jetzt Tun Mussen

Zahn Abgebrochen Was Ist Zu Tun Brigitte De

Krankschreibung Nach Einem Gezogenen Zahn

Stuck Vom Zahn Wackelt Zahne
Http Geb Uni Giessen De Geb Volltexte 17 Pdf Ruedigerandreas 17 05 15 Pdf

Hund Ist Eck Zahn Abgebrochen Hilfe Zahne Abbrechen

Zahn Abgebrochen Was Tun Dentalwissen

Zahn Abgebrochen Das Sollten Sie Sofort Machen

Ratgeber Zahnbrucke Kosten Arten Vor Und Nachteile

Dessy3010 Oh Mist Mir Ist Gerade Ein Halber Zahn Abgebrochen Jetzt Liegt Der Zahnhals Frei Mal Schauen Ob Ich Uberhaupt Einen Termin Bekomme Druckt Mir Bitte Die Daumen

Milchzahne Dentalwissen
Http Geb Uni Giessen De Geb Volltexte 17 Pdf Ruedigerandreas 17 05 15 Pdf

Leistungen

Backenzahn Abgebrochen

Zahn Abgebrochen Erste Hilfe Behandlung Dentolo

Wurzelbehandelter Zahn Abgebrochen Was Tun Dentalplanet

Ein Abgebrochener Zahn Muss Schnell Behandelt Werden

Habe Das An Meinem Zahn Entdeckt Zahne Karies
Www Ztm Aktuell De Uploads Tx Spipdfarchive Ztm 1 18 Low Pdf

Fullung Krone Extraktion Die Entscheidungsregeln Zm Online

Wurzelbehandlung Ablauf Vor Nachteile Netdoktor At

Zahnfleischentzundung Focus Arztsuche

Zahn Abgebrochen Was Tun Wir Helfen

Zahn Abgebrochen So Retten Sie Einen Abgebrochenen Zahn

Lena Meyer Landrut Tanzerin Schlagt Ihr Auf Buhne Halben Zahn Aus

Zahn Abgebrochen Was Ist Zu Tun Brigitte De

Zahn Abgebrochen Was Tun Wir Helfen

Toter Zahn Focus Arztsuche

Zahnkrone 13 Dinge Die Sie Wissen Mussen Dentalplanet

Frontzahntrauma Wikipedia

Loch Am Zahn Zahne Zahnarzt

Zahnprothese Der Herausnehmbare Zahnersatz Dentolo

Zahn Abgebrochen 6 Dinge Die Sie Jetzt Tun Mussen

Keramikinlay

Wissenschaftliches

Hilfe Zahn Abgebrochen Angst Vor Kosten Zahnarzt

Fullung Krone Extraktion Die Entscheidungsregeln Zm Online

Zahnkrone 13 Dinge Die Sie Wissen Mussen Dentalplanet

Leistungen

Abnehmbarer Zahnersatz Zahnstuck Abgebrochen Wurzelbehandlung Zahn Ziehen

Zahn Abgebrochen Das Sollten Sie Sofort Machen

Frontzahntrauma Wikipedia
Frontzahntrauma Wikipedia

Frontzahntrauma Wikiwand

Wandfraktur Zahnnotizen

Zahnkrone 13 Dinge Die Sie Wissen Mussen Dentalplanet

Leistungen

Zahnfleischentzundung Focus Arztsuche

Leistungen

Zahntrauma Zahn Abgebrochen Was Ist Zu Tun

Leistungen

Zahn Abgebrochen Mit Diesen Kosten Konnen Sie Rechnen

Zahn Abgebrochen 6 Dinge Die Sie Jetzt Tun Mussen

Weisheitszahne In Diesen Fallen Muss Eine Operation Sein Welt
Zkn De Fileadmin User Upload Publikationen Nzb 17 Nzb 03 17 Pdf

Zahnextraktion Die Letzte Moglichkeit Zahnziehen Stern De

Zahn Abgebrochen 6 Dinge Die Sie Jetzt Tun Mussen

Stuck Ecke Halber Zahn Abgebrochen Was Tun Schmerzen Bei Wurzelbehandlung Der Zahne Kosten Fur Kind Erwachsene

Keramik Zahnfullung Plombierter Zahn Abgebrochen Parodontose

Wie Amalgamfullungen Zahnen Schaden Zahnarztmitte
Www Ztm Aktuell De Uploads Tx Spipdfarchive Ztm 1 18 Low Pdf

Zahn Abgebrochen Erste Hilfe Behandlung Dentolo

Ein Halber Zahn Weniger 13 Jahriges Jubilaum Von Grexi Fisch Fleisch

Wie Amalgamfullungen Zahnen Schaden Zahnarztmitte

Zahn Abgebrochen Was Tun Wir Helfen
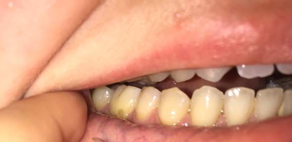
Halber Backenzahn Abgebrochen Denta Beaute

Zahn Abgebrochen 6 Dinge Die Sie Jetzt Tun Mussen

Was Tun Bei Einem Abgebrochenen Zahn

Toter Zahn Symptome Behandlung Von Abgestorbenen Zahnen

Leistungen

Frontzahntrauma Wikipedia

Zahn Abgebrochen So Retten Sie Einen Abgebrochenen Zahn
Www Lzk De Fileadmin User Upload Downloads Downloads Medien Zb 02 19 Pdf

Zahnnotfalle Bei Hunden Und Katzen Kleintierpraxis Dr Martin Zahner
Zahnviertel Locker Aber Noch Verwurzelt Denta Beaute

Zahn Abgebrochen Erste Hilfe Behandlung Dentolo

Zahn Abgebrochen So Retten Sie Einen Abgebrochenen Zahn

Zahn Abgebrochen Erste Hilfe Behandlung Dentolo

Faule Zahne Ursachen Folgen Behandlung Dentalwissen

Zahn Abgebrochen Was Tun Zahnarzt In Dusseldorf Dr Pantas