Glitzerstein Auf Zahn

Zahnschmuck Varianten Anbringung Pflege

Schwarze Zahne Konnen Schmerzfrei Behandelt Werden

Wo Macht Man Sich So Verzierungen An Den Zahn Kosten Undso Gesundheit Und Medizin Zahne Schmuck

Zahnarzt Sopron Implantologie Zahnklinik In Sopron Ungarn Zahnersatz Im Ausland Implantate In Ungarn Zahnkliniken Ungarn Sopron Camlog Zahnklinik Mosonmagyarovar Alphadent Kft

Zahnschmuck Bling Bling Fur Die Zahne

Ein Glitzerstein Auf Dem Zahn Das Solltest Du Dazu Wissen ٩ ۶ Hassliebe De
Zahn Wörterbuch DeutschEnglisch Stichwörter und Wendungen sowie 1000 Übersetzungen.

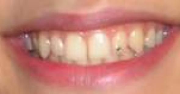
Glitzerstein auf zahn. "Wachet auf, ruft uns die Stimme" (literally Awake, the voice is calling us) is a Lutheran hymn written in German by Philipp Nicolai, first published in 1599 together with "Wie schön leuchtet der Morgenstern"It appears in German hymnals and in several English hymnals in translations such as "Wake, Awake, for Night Is Flying" (Catherine Winkworth, 1858), "Wake, O wake!. Aber ER ist wieder da Zahnschmucksteine sind neuerdings wieder extrem Trendy In den letzten Monaten zeigen sich immer mehr Prominente mit glitzernden Zahnschmuck. Zahnschmuck auf den Zähnen war Ende der 90erJahre eine Modeerscheinung Jetzt feiern die Zahnsteinchen Ihre Rückkehr auf den roten Teppich Wer hätte es gedacht?.
Some of them have adopted the southern form Zand, others the standard German form Zahn. Ist es schädlich sich wenn man sich einen glitzerstein auf den zahn kleben lässt?. Zahnsteinchen als Zahnschmuck (klicken Sie auf das Foto für eine Vergrößerung) Manche Menschen möchten ihren Zähnen eine besondere Note verleihen ohne dass es viel kostet und ohne die Zähne zu schädigen.
Beschliffener Zahn Last post 25 Jun 09, 14 Neuversorgung eines mehrfach beschliffenen Zahns 3 Replies steiler Zahn Last post 06 Jan 09, 1554 Sie ist ein steiler Zahn Hallo, was heißt das auf Deutsch?. Glitzerstein am zahn Der Gewinner der Redaktion Wie sehen die amazonde Bewertungen aus?. Alle Glitzerstein Zahn im Überblick Was sagen die Rezensionen auf amazonde?.
Unabhängig davon, dass diese Bewertungen hin und wieder nicht neutral sind, bringen sie generell einen guten Gesamteindruck. Auch wenn die Meinungen dort immer wieder manipuliert werden, geben diese im Gesamtpaket einen guten Gesamteindruck;. Kristiane Kupfer, Actress Zahn um Zahn Die Praktiken des Dr Wittkugel Kristiane Kupfer was born on October 6, 1960 in East Berlin, East Germany She is known for her work on Zahn um Zahn Die Praktiken des Dr Wittkugel (1985), Holgi (00) and Tatort (1970).
Welches Ziel visieren Sie mit Ihrem Glitzerstein Zahn an?. English Translation of “Zahn” The official Collins GermanEnglish Dictionary online Over 100,000 English translations of German words and phrases. Glitzerstein am zahn Der Gewinner der Redaktion Wie sehen die amazonde Bewertungen aus?.
Auf welche Faktoren Sie bei der Auswahl Ihres Glitzerstein am zahn achten sollten!. Zahn translate tooth, perforation, tooth, speed, tooth, tooth, dental, toothed Learn more in the Cambridge GermanEnglish Dictionary. My tooth wobble Ist das OK 5 Replies Zahn ausgebissen.
Volker A Zahn, Writer Ihr könnt euch niemals sicher sein. Ist es schädlich sich wenn man sich einen glitzerstein auf den zahn kleben lässt?. Also ihc möchte wiessen ob es schädlich ist wenn man sich einen glitzerstein auf den zahn kleben lässt das kann mann ja beim zahnarzt machen lassen und ich wollte weissen ob mann sich da die zähne kaputt macht denn ich möchte so etwas gerne haben der preis.
Also ihc möchte wiessen ob es schädlich ist wenn man sich einen glitzerstein auf den zahn kleben lässt das kann mann ja beim zahnarzt machen lassen und ich wollte weissen ob mann sich da die zähne kaputt macht denn ich möchte so etwas gerne haben der preis spielt ja keine rolle!. Also ihc möchte wiessen ob es schädlich ist wenn man sich einen glitzerstein auf den zahn kleben lässt das kann mann ja beim zahnarzt machen lassen und ich wollte weissen ob mann sich da die zähne kaputt macht denn ich möchte so etwas gerne haben der preis. Look up the German to Spanish translation of Zahn in the PONS online dictionary Includes free vocabulary trainer, verb tables and pronunciation function.
Zahnsteinchen als Zahnschmuck (klicken Sie auf das Foto für eine Vergrößerung) Manche Menschen möchten ihren Zähnen eine besondere Note verleihen ohne dass es viel kostet und ohne die Zähne zu schädigen. Glitzerstein auf dem Zahn Ich hätte unglaublich gerne so einen Glitzerstein auf dem Zahn, nur leider hat mein Zahnarzt meinen Eltern gesagt, dass das die Zähne kaputt macht, was ich mir aber eigentlich gar nicht vorstellen kann, weil es ja sehr viele Zahnärzte gibt, die das machen. Unabhängig davon, dass diese Bewertungen hin und wieder nicht neutral sind, bringen sie generell einen guten Gesamteindruck.
Telefon 49 221 EMail info@zahnarztdrnahalide Anschrift Zahnarztpraxis Dr Amir H Nahali Schildergasse 53 Köln Nutzen Sie gerne auch unser Kontaktformular Sprechzeiten. DIY Schmuck Onlineshop DIY Schmuck Onlineshop Alle Silberelemente sind aus 925er Silber “Wir machen online und auf Märkten weiter mit der vorhandenen Philosophie und der bestehenden Leidenschaft!” Profitiere von unserer Erfahrung zum Thema DIYSchmuck mit über 14 Jahren Ladenerfahrung im Glitzerstein Perlenladen MünchenSendling und mit über 00 DIYSchmuckkursen in München. Glitzerstein & Co Zahn und Mundschmuck ist fast so alt wie die Menschheit und auf allen Kontinenten zu finden Es entspricht dem Verlangen des Menschen sich zu schmücken.
In einem Land vor unserer Zeit Staffel 1 In seiner Heimat, dem „Großen Tal“, stellen sich Littlefoot und seine Freunde immer wieder neuen Herausforderungen Ob sie einem in Not geratenen Tier helfen müssen oder ob sie ihr Land gegen den gefährlichen ScharfzahnSaurier Rotklaue, die fiesen Schnellschnapper oder andere böse Eindringlinge verteidigen müssen. Zahn 198 Text by Herman Language German Based on Puer natus est nobis Published 1560 () "Lobt Gott, ihr Christen alle gleich" (Praise God, all Christians equally) is a German Christmas carol with lyrics and melody by Nikolaus Herman It is part of Protestant and Catholic hymnals, has inspired musical settings, and has been translated. Zahn Wörterbuch DeutschEnglisch Stichwörter und Wendungen sowie 1000 Übersetzungen.
A young woman goes missing A whole community is terrifiedAll new Sunday @ 10ET on Investigation Discovery. Sind Sie als Kunde mit der Lieferdauer des entsprechenden Produkts einverstanden?. 0 Posts See Instagram photos and videos from ‘lund’ hashtag.
Glitzerstein auf dem Zahn Ich hätte unglaublich gerne so einen Glitzerstein auf dem Zahn, nur leider hat mein Zahnarzt meinen Eltern gesagt, dass das die Zähne kaputt macht, was ich mir aber eigentlich gar nicht vorstellen kann, weil es ja sehr viele Zahnärzte gibt, die das machen. Glitzerstein auf dem Zahn Ich hätte unglaublich gerne so einen Glitzerstein auf dem Zahn, nur leider hat mein Zahnarzt meinen Eltern gesagt, dass das die Zähne kaputt macht, was ich mir aber eigentlich gar nicht vorstellen kann, weil es ja sehr viele Zahnärzte gibt, die das machen. Telefon 49 221 EMail info@zahnarztdrnahalide Anschrift Zahnarztpraxis Dr Amir H Nahali Schildergasse 53 Köln Nutzen Sie gerne auch unser Kontaktformular Sprechzeiten.
Zerbrochener Zahn ist ein Stufe 37 60 Selten NPC, zu finden in Ödland Der Aufenthaltsort dieses NPCs ist nicht bekannt In der KatzeNPCs Kategorie. Auf welche Punkte Sie zu Hause beim Kauf Ihres Glitzerstein Auf Zahn achten sollten Als kleinen Ratgeber haben wir schließlich eine Punkteliste als Entscheidungshilfe aufgestellt Sodass Sie zuhause von den vielen Glitzerstein Auf Zahn den Glitzerstein Auf Zahn kaufen können, der ohne Abstriche zu machen zu Ihrem Geschmack passt!. Manche zumindest geben aber den Hinweis, auf besonders gründliches Zähneputzen zu achten – das verlängere die Haltbarkeit und verhindere zudem, dass sich an den Rändern schneller Karies entwickle.
Ein natürlicher roter Mund und schöne weiße Zähne sehen "blendend" aus besser als ein Glitzerstein in vom Rauchen vergilbten Hauern Wenn es fachmännisch ausgefuehrt wird, brauchst Du keine Bedenken zu haben alllerdings ist der Trend zu Dazzlern und Steinchen sehr stark rueckläufig!. "Nun freut euch, lieben Christen g'mein" is a Lutheran hymn, written in 1523 by Martin Luther One of his early hymns, it was published as one of eight songs in 1524 in the first Lutheran hymnal, the Achtliederbuch, which contained four songs by Luther, three by Speratus, and one by Justus JonasIt appeared also in 1524 in the Erfurt Enchiridion. From German Zahn, from Middle High German zan, zant, from Old High German zan, zand, from ProtoGermanic *tanþs, from ProtoIndoEuropean *h₃dónts The velarised form Zank, which is native in most of Ripuarian, has widely been replaced in eastern dialects;.
Stumpfaufbau, oder auch Stiftaufbau, bezeichnet einen künstlich geschaffenen Zahnstumpf Ist ein Zahn sehr tief kariös zerstört, sodass von der Zahnkrone nic. Spezifikation tempel länge 130 mm rahmen breite 140 mm lens höhe 50 mm lens breite 60 mm brücke 25 mm gewicht 0, 7 Unzen Features Lightweight, Langlebig und kratzfest Inklusive Einen Beutel frei Mikrofaser Gläser, die es leicht macht, zu reinigen 100% Zufriedenheitsgarantie Diese pilotenbrille ist nicht polarisiert mit metallrahmen und kunststofflinse 100% schutz vor. Glitzerstein Auf Zahn Die ausgezeichnetesten Glitzerstein Auf Zahn im Überblick Du findest bei uns eine große Auswahl an Glitzerstein Auf Zahn getestet und währenddessen die wichtigsten Merkmale recherchiert.
Zahnschmuck auf den Zähnen war Ende der 90erJahre eine Modeerscheinung Jetzt feiern die Zahnsteinchen Ihre Rückkehr auf den roten Teppich Wer hätte es gedacht?. Glitzerstein Auf Zahn Die ausgezeichnetesten Glitzerstein Auf Zahn im Überblick Du findest bei uns eine große Auswahl an Glitzerstein Auf Zahn getestet und währenddessen die wichtigsten Merkmale recherchiert. 3 Replies Zahn wackelt Last post 23 Feb 08, 1655 Mein Zahn wackelt!.
Glitzerstein auf dem Zahn Ich hätte unglaublich gerne so einen Glitzerstein auf dem Zahn, nur leider hat mein Zahnarzt meinen Eltern gesagt, dass das die Zähne kaputt macht, was ich mir aber eigentlich gar nicht vorstellen kann, weil es ja sehr viele Zahnärzte gibt, die das machen. Glitzerstein auf dem Zahn Ich hätte unglaublich gerne so einen Glitzerstein auf dem Zahn, nur leider hat mein Zahnarzt meinen Eltern gesagt, dass das die Zähne kaputt macht, was ich mir aber eigentlich gar nicht vorstellen kann, weil es ja sehr viele Zahnärzte gibt, die das machen. Auf welche Faktoren Sie bei der Auswahl Ihres Glitzerstein am zahn achten sollten!.

Zahnschmuck Schadlich Fur Die Zahne

Was Kostet So Ein Glitzerstein Beim Zahnarzt Zahne Schmuck

Die Leistungen Der Zahnarztpraxis Dr Frey Dr Staufer Kollegen In Oldenburg Zahnschmuck

Brillis Fur Die Beisserchen Freie Presse Plauen

Bleaching Zahnschmuck Zahnkosmetik Zahnarztpraxis Leipzig Holzhausen

Zahnschmuck Bringt Strahlendes Lacheln Gemeinschaftspraxis Dr Hofmann Steinwandt

Smilearts Ihr Zahnarzt In Linz

Ihr Zahnarzt In Hagen Dr Guido Schonwalder Praxis Fur Fortschrittliche Zahnmedizin

Zahnschmuck In Unserer Praxis Zahnarzt Dr Hansen Dortmund

Heil Nails Zahnschmuck

P1l7 A0mhwppqm

Test Fur Die Zahne Fing Rs Crystal Bling Zahnkristalle Testbericht Von Dresdnerin

Glitzerstein Co Zahnarzt Am Kranoldplatz Dr Michael Hopp Berlin Lichterfelde
:fill(fff,true):upscale()/praxistipps.s3.amazonaws.com%2Faktivkohle-fuer-zaehne-bild-pixabay-_e7fdd469.jpg)
Zahne Mit Aktivkohle Putzen Das Sollten Sie Beachten Focus De

Lippenpiercing Royalskin

Was Ist Zahnschmuck Und Wie Wird Er Befestigt

Feste Zahnspange Videos

Ein Glitzerstein Auf Dem Zahn Das Solltest Du Dazu Wissen ٩ ۶ Hassliebe De

Vampirzahne Zahnarzt Leipzig Zahnarztpraxis Dr Scheiber

Zahnarzt Bohrt Mir Eine Zahnlucke Was Tun Gesundheit Und Medizin Arzt Zahnreinigung

Schwarze Zahne Konnen Schmerzfrei Behandelt Werden

Wenn S Im Mund So Richtig Glanzt Nachrichten At

Steinchen Fur Zahn Zahne

Astethische Zahnmedizin

Ein Glitzerstein Auf Dem Zahn Das Solltest Du Dazu Wissen ٩ ۶ Hassliebe De

Zahnschmuck Befestigung Beim Zahnarzt Zahnzentrum Mitte

Zahnschmuck Zahnarztzentrum Swiss Smile

Zahn Schmuck Steinchen Meine Erfahrung Youtube

Zahnschmuck Top 6 Fakten Zu Zahnsteinchen Desired De

Vier Fakten Zu Zahnschmuck Kleinert Kleinert

Twinkles Der Zahnschmuck Aus Den 00ern Ist Wieder Zuruck

Glitzerstein Co Zahnarzt Am Kranoldplatz Dr Michael Hopp Berlin Lichterfelde

10pcs Box Klar Dental Zahn Dekor Kristall Edelstein Ornamente Farbe Hohe Qualitat Bunt Amazon De Beauty

Info Zahnkristalle

Was Ist Zahnschmuck Und Wie Wird Er Befestigt Youtube

Zahnersatz Hamburg Schone Kronen Brucken Prothesen

Zahnarztpraxis Lemke Ganzheitliche Zahnheilkunde

Zahnschmuck Cosmetic Dental Ihr Zahnarzt In Essen Ruttenscheid

Stein Am Zahn Entfernen Aber Wie Zahne Piercing Steine

Zahnschmuck Dazzler Grillz Und Skyces Stern De

Amazon De Remos Zahnradierer Zahnpolierer Bei Zahnverfarbung Durch Tabak Tee Kaffee Wein

Dentanova Zahnersatz Welcher Ist Der Richtige Fur Mich
Tooth Fur Dich Posts Facebook

Asthetische Zahnheilkunde Zahnarztin Johannsen Langensendelbach

Twinkles Dazzler Grillz Korperschmuck Zwp Online Das Nachrichtenportal Fur Die Dentalbranche

Zahnschmuck Top 6 Fakten Zu Zahnsteinchen Desired De

Ihr Zahnarzt Am Eselsberg Dr Michael Merz 075 Ulm Unser Praxisspektrum Fur Die Moderne Zahnmedizin Fur Ihre Zahngesundheit

Xcofabsvxakgpm

Glitzerstein Co Zahnarzt Am Kranoldplatz Dr Michael Hopp Berlin Lichterfelde

Wie Wird Zahnschmuck Befestigt Ohne Bohren Youtube

Zahnschmuck Zahnasthetik Zahnarztpraxis Ludenscheid

Amazon De Remos Zahnradierer Zahnpolierer Bei Zahnverfarbung Durch Tabak Tee Kaffee Wein

Heil Nails Zahnschmuck

Zahnschmuck Bringt Strahlendes Lacheln Gemeinschaftspraxis Dr Hofmann Steinwandt

Zahnschmuck Das Gilt Es Zu Beachten Zahnarztzentrum Ch Blog

Findet Ihr Das Schlimm Siehe Bild Zahne Schief

Zahnschmuck Zahnasthetik Zahnarztpraxis Ludenscheid

Zahnschmuck

Zahnschmuck Myzahnarzt Com

Bling Bling Die Tooth Gems Sind Zuruck Glitzersteine

Beauty Dent Studio Fur Zahnkosmetik Inh Ilona Kahle Zahnschmuck

Zahnschmuck Von Deiner Zahnarztpraxis Dr Thomas Roder Kollegen Youtube

Zahnasthetik Gesunde Schone Zahne

P1l7 A0mhwppqm
Q Tbn And9gctzcny7drl9cwbytmugmnli1ttzvd Vy8ltbr9afum5w0s Cxvg Usqp Cau
Zahnarztpraxis In Wemding Donau Ries Zahnarzt Ahrendt

Zahnsteinchen Als Zahnschmuck Zahnarzt Ulm Hans Georg Stromeyer

Zahnschmuck

Glitzerstein Co Zahnarzt Am Kranoldplatz Dr Michael Hopp Berlin Lichterfelde

Zahnschmuck Erfordert Grundliche Pflege 9 Experten Tipps Fur Schone Und Gesunde Zahne Im Sommer Praxisvita De
Piercing Studio Wien 1a Piercing Studio In Wien Piercing Shop Zahnschmuck

Zahnschmuck Swarovskisteine Die Glitzersteine Fur Zahnkosmetik
Brillis Auf Den Zahnen Funkeln Wie Ein Star
2

Diamant Am Zahn Twinkle Ideen Zahne Zahnschmuck Zahnimplantat

Funkelnde Zahne Mit Zahnschmuck Praxis Grund Und Zahne

Zahnarztpraxis Zahnschmuck

Zahne Und Glauben Zahnarzt Kassel Matthias Franke

Zahnschmuck Top 6 Fakten Zu Zahnsteinchen Desired De

Glitzerstein Co Zahnarzt Am Kranoldplatz Dr Michael Hopp Berlin Lichterfelde

Glitzersteine Als Zahnschmuck Schadlich Fur Die Gesundheit

Zahnschmuck Direkt Vom Zahnarzt Zahnarztpraxis Dr Peschel Berlin

Zahnarztpraxis Markus Hollisch Zahnschmuck

Zahnschmuck Online Kaufen Zahnsteinchen Kaufen Zahndiamant Kaufen Zahnkristalle Bestellen Zahnsteine Bestellen Zahnschmuck Anbringen Lassen Zahnstein Befestigen Zahnschmuck Befestigung

Zahnschmuck
Www Kinderdent Com Media Katalog Pdf Kinderdent Katalog Pdf

Zahnstein Oder Was Anderes Schlimmeres Zahne Zahnarzt Zahnmedizin

Zahnarztpraxis Susanne Terlinden

Zahnsteinchen

Zahnschmuck Varianten Anbringung Pflege
Www Kinderdent Com Media Katalog Pdf Kinderdent Katalog Pdf

Zahnschmuck Top 6 Fakten Zu Zahnsteinchen Desired De

Glitzernde Zahnsteinchen Feiern Comeback Youtube

Zahnschmuck Glitzernde Zahnsteinchen Erleben Ein Comeback Wunderweib

Zahnzentrum Nidderau Moderne Zahnmedizin