Kleine Pickel An Der Stirn

Viele Kleine Pickel Auf Der Stirn Was Kann Ich Machen Um Es Weg Zu Bekommen Bilder

Juckender Hautausschlag Pickel Und Pusteln Um Den Mund Herum Gesundheit Br Fernsehen Fernsehen Br De
Q Tbn And9gcqtmhgt Bffvoezua 3jpbt1kxfjrne15lsccpfqal15aa Ardl Usqp Cau

Unreinheiten Und Co Makellose Haut Statt Unterlagerungen

Kleine Pickel Im Gesicht Ursachen 8 Tipps Desired De

Wie Behandelt Mann Pityrosporum Folliculitis Dr Jetske Ultee
Denn durch die dicke Mähne und zusätzliche StylingProdukte wie Haarspray wird die Atmung der Haut behindert, weshalb die Talgdrüsen schneller verstopfen können.

Kleine pickel an der stirn. Denn auch kleine Pickel auf der Stirn der Krankheitsentwicklung hinweisen 461 shares 6594 views Die Symptome der venösen Insuffizienz der unteren Extremitäten, Behandlung mit Medikamenten und Kräutern, Fotos 4 shares 5001 views Herpes auf den Kopf Was tun?. Viele Behandlungsversuche schlagen oft nicht an weil es sich bei der Hautkrankheit gar nicht um Akne handelt!. Besonders deuten Pickel auf der Stirn auf ein angeschlagenes Immunsystem und Stress hin Hast du momentan viel um die Ohren, schläfst zu wenig oder ist eine Erkältung im Anmarsch, dann können Pickel im Gesicht und vor allem auf der Stirn ein Zeichen dafür sein, dass du mal wieder einen Gang zurückschalten solltest.
Sonst hab ich sowas gar nicht im Gesicht Klar hab ich so an sich auch mal nen Pickel aber alles in allem ist das kein großes Problem. Pickel auf der Stirn sind so ziemlich das Schlimmste, was einem passieren kann Wir erklären dir, woher sie kommen und wie du sie wieder loswirst. Seit vielen Jahren habe ich rote Punkte im Brustbereich Besonders in der Pubertät hatte ich auch Probleme mit Akne, vor allem im Gesicht und dann fing es auch mit den roten Punkten auf der Brust an Es sind allerdings keine richtigen Pickel wie bei Akne, sondern meist flache Stellen, oder manchmal mit einem kleine n Hubbel in der Mitte des.
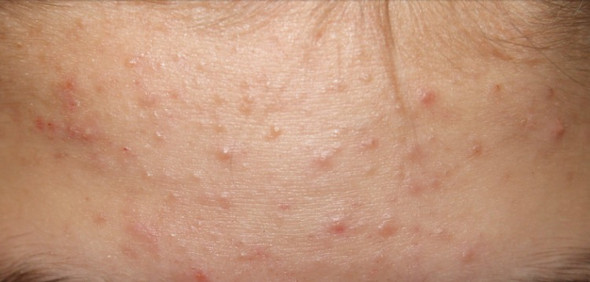
Plötzlich kleine Pickel auf der Stirn 23 November 04 um 1911 Letzte Antwort 13 Juni 09 um 2115 Hallo, habe seit neuestem plötzlich viele kleine Pickel auf der Stirn Hatte dort vorher nicht einen!. Was man gegen Pickel tun kann Viele Teenager leiden unter Pickeln und Unreinheiten, was sich unter anderem auch negativ auf das Selbstbewusstsein auswirken kann Auch wenn es sich hierbei um ein sehr hartnäckiges Hautproblem handelt, können Unreinheiten mit der richtigen Hautpflege sichtbar gemindert werden. Fettige Haare können Pickel am Haaransatz und den Schläfen verursachen Setzen Sie auf ein mildes, pflegendes Shampoos, das weder die Kopfhaut noch den Haaransatz austrocknet, um Pickeln in dieser Region entgegen zu wirken.
Manchmal möchte man einfach aus der Haut fahren Besonders, wenn es stressig wird Und dann in hektischen Zeit oft auch noch ein Pickel auf der Stirn oder der Nase wuchert Das ist allerdings nicht nur eine unfaire Laune der Natur, sondern ein Grund, euch Gedanken machen Unreinheiten der Haut können ein echtes Warnzeichen sein. Viele kleine Pickel auf der Stirn hilfeeee Hallo, Ich habe seit mehreren Wochen kleine aber sehr sehr viele Pickel auf der Stirn bekommen Ich habe so viele pflegeprodukte ausprobiert aber keine haben geholfen, im Gegenteil hab jetzt noch mehr bekommen Es werden immer mehr Bitte hilft mir. Pickel auf der Stirn können aber auch das Resultat übermäßiger Hitze gerade in den Sommermonaten sein, wo der Schweiß durch starkes Schwitzen deren Ausbildung zusätzlich fördert Eine weitere Ursache können Stirnbänder und Mützen sein, die beim Sport oder beziehungsweise im Winter gegen klirrende Kälte getragen werden.
Pickel auf der Stirn hängen oft mit der Ernährung zusammen Häufig zeigen die Unreinheiten, dass Sie zu viel Alkohol oder Zucker konsumieren;. Zusätzlich bewirkt die Maske eine Reinigung der Haut und hilft so, kleine Pickel auf der Stirn wegbekommen zu können Die Maske stellst du am besten her, indem du 1 EL Naturjoghurt mit 1 EL Hafermehl und wahlweise Honig verrührst und sie dann auf die picklige Haut aufträgst. (aus der Pubertät bin ich raus).
Ja, Sie können diese Tricks helfen, wenn kleine Pickel auf der Stirn subtil oder bald auf eigene Faust sein Leider passiert das selten Meist "ungebetene Gäste" setzen sich dauerhaft auf dem offensten Teil des Gesichts ab Wie Pickel von Akne sind, ist aus mehreren Gründen, die manchmal nicht auf der Person abhängen. Kurz vorm Wocheneinkauf prangt ein riesiger Pickel auf eurer Stirn?. Zu meinem "Reine Haut in 30 en" Programm https//wwwgethealthywithmede/reinehautprogramm/ ♥ Feuchtigkeitspflege bei unreiner Haut Hadalabo Hyalu.
Keine Pickel, keine Mitesser, nix Und obwohl ich bei meiner Pflege (ich creme das Gesicht nicht ein) nichts geändert habe, habe ich seit einer Woche jede Menge Pickel auf der Stirn Das stört mich total Ich war immer so stolz auf meine makellose Haut Was kann das sein?. Sonst hab ich sowas gar nicht im Gesicht Klar hab ich so an sich auch mal nen Pickel aber alles in allem ist das kein großes Problem. Ich bekomme seid ca 23 Monaten kleine Pickel am Haaransatz und an der Stirn, woran könnte es liegen das dies zustande kommt?.
Besonders deuten Pickel auf der Stirn auf ein angeschlagenes Immunsystem und Stress hin Hast du momentan viel um die Ohren, schläfst zu wenig oder ist eine Erkältung im Anmarsch, dann können Pickel im Gesicht und vor allem auf der Stirn ein Zeichen dafür sein, dass du mal wieder einen Gang zurückschalten solltest. Es mag gruselig klingen, doch Bakterien und Keime lauern leider tatsächlich überall Und ganz egal, wie penibel wir auch sind Wer sich. Pickel kommen meist genau dann, wenn man sie so gar nicht gebrauchen kann Vor einem vielversprechenden Date, einer wichtigen Präsentation bei der Arbeit oder der eigenen Geburtstagsparty.
Da hilft auch die 4 Reinigungsmaske nichts Unebenheiten und Unreinheiten, die sich zwar wie Pickel anfühlen und auch irgendwie so aussehen, aber keine sind, brauchen eine andere Art der Pflege und Behandlung. Ich bekomme seid ca 23 Monaten kleine Pickel am Haaransatz und an der Stirn, woran könnte es liegen das dies zustande kommt?. Pickel auf der Stirn können aber auch das Resultat übermäßiger Hitze gerade in den Sommermonaten sein, wo der Schweiß durch starkes Schwitzen deren Ausbildung zusätzlich fördert Eine weitere Ursache können Stirnbänder und Mützen sein, die beim Sport oder beziehungsweise im Winter gegen klirrende Kälte getragen werden.
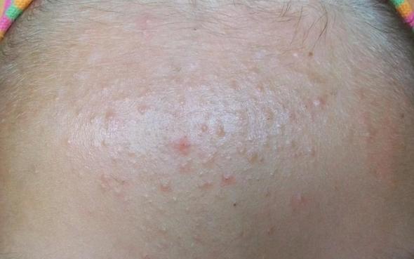
Hey ich bin 14 fast 15 und habe das Problem dass ich sehr viele kleine Pickel auf der Stirn und Schläfe habe Sie sind weder rot noch irgendwie eiterich Es sind einfach tausende von kleinen Hubbeln Bin echt verzweifelt hab schon alles mögliche aus der Drogerie getestet aber nichts hilft. Hausmittel gegen Pickel an der Stirn Es gibt zwei Hausmittel, die gegen Pickel an der Stirn helfen können Wir haben sie hier für dich aufgelistet Teebaumöl eignet sich gut gegen Pickel Es hat entzündungshemmende und antimikrobielle Eigenschaften, die wunderbar gegen Pickel helfen. Und was kann ich dagegen tun?Da ich nicht weiß wie alt du bist können es 1000 unterschiedliche Gründe sein Wenn du so zwis.
Pickel auf der Stirn sind so ziemlich das Schlimmste, was einem passieren kann Wir erklären dir, woher sie kommen und wie du sie wieder loswirst. Seit einiger Zeit habe ich so winzig kleine Pickelchen auf der Stirn Die sind nicht rot oder eitrig aber sie stören trotzdem Es sind so auf der ganzen Stirn verteilte Hubbelchen die man auch fühlen kann Kennt das vielleicht eine von euch?. Auch Stress ist ein bekannter AuslöserDies liegt an den Stresshormonen Cortisol und Adrenalin, welche dafür sorgen, dass die Talgdrüsen vermehrt Talg produzieren.
Seit einiger Zeit habe ich so winzig kleine Pickelchen auf der Stirn Die sind nicht rot oder eitrig aber sie stören trotzdem Es sind so auf der ganzen Stirn verteilte Hubbelchen die man auch fühlen kann Kennt das vielleicht eine von euch?. Kleiner Pickel auf der Haarsträhne und Stirn, was?. Sie waren plötzlich da und gehen irgendwie nicht wieder weg.
Seit einiger Zeit habe ich so winzig kleine Pickelchen auf der Stirn Die sind nicht rot oder eitrig aber sie stören trotzdem Es sind so auf der ganzen Stirn verteilte Hubbelchen die man auch fühlen kann Kennt das vielleicht eine von euch?. TheM4y3rS# #benutze mal oben gegen pickel machen kann Ich habe kleine pickel auf der stirn eine menge kleiner pickel ich dusche mich jeden tag aber gesundheit, reinigung, gesicht, creme, pickel , 2352. Wenn du dichtes Haar hast und einen Pony à la Caroline de Maigret trägst, könnte es ebenfalls sein, dass sich auf deiner Stirn kleine Pickel bilden Leider!.
Kleiner Pickel auf der Haarsträhne und Stirn, was?. Pickel auf Nase & Stirn Die sogenannte TZone reagiert sehr sensibel auf Stress und strapazierte Nerven Der Grund Stresshormone wie zum Beispiel Adrenalin kurbeln die Talgproduktion der Haut. Schlechtes Timing – dafür aber genau der richtige Zeitpunkt mal nachzuforschen, welche Ursache dahinter steckt.
Pickel auf der Stirn – jetzt sollte die Schulmedizin gefragt sein Sieht man ständig Pickel auf der Stirn, dann sollte der Mensch die Warnhinweise der chinesischen Medizin, aber auch moderner Kenner von Akne beachten und mal den Hausarzt befragen, ob wirklich innere Organe für die ständigen Pickel auf der Stirn verantwortlich sind. Auch die Pickel auf der Stirn weg zu schminken ist nicht dauerhaft wirksam, weil die Abdeckwirkung von Makeup im Laufe des es nachlässt und die Pickel wieder zum Vorschein kommen Besser ist es erstmal zu überlegen, wo Pickel eigentlich herkommen und warum sie ausgerechnet Deine Haut so mögen. Da hilft auch die 4 Reinigungsmaske nichts Unebenheiten und Unreinheiten, die sich zwar wie Pickel anfühlen und auch irgendwie so aussehen, aber keine sind, brauchen eine andere Art der Pflege und Behandlung.
Viele Behandlungsversuche schlagen oft nicht an weil es sich bei der Hautkrankheit gar nicht um Akne handelt!. Spätestens mit der Pubertät zeichnen sie sich das erste Mal ab kleine Pickel im Gesicht, die sich gern vor allem auf der Stirn, den Wangen und der Nase zeigen Die zunächst weißgrau gefärbten Punkte auf deiner Haut werden als Talgpickel bezeichnet und können sich bei einer Entzündung schnell rötlich färben, anschwellen oder auch eitern und dann ziemlich weh tun. Manchmal möchte man einfach aus der Haut fahren Besonders, wenn es stressig wird Und dann in hektischen Zeit oft auch noch ein Pickel auf der Stirn oder der Nase wuchert Das ist allerdings nicht nur eine unfaire Laune der Natur, sondern ein Grund, euch Gedanken machen Unreinheiten der Haut können ein echtes Warnzeichen sein.
Ich (w/17) habe seit ein paar Wochen so komische kleine pickelchen auf der Stirn bekommen, erst waren es nur 2 rote "hubbelchen" und jetzt ist es da ein kleiner Haufen geworden zu Pickeln werden sie nur manchmal und wenn, dann auch nur ganz klein. Ich bekomme seid ca 23 Monaten kleine Pickel am Haaransatz und an der Stirn, woran könnte es liegen das dies zustande kommt?. Ich habe nun seit mehreren Wochen eine Pickel Beule an der Seite von der Stirn der sehr unschön aussieht Als ich gemerkt habe dass da ein Pickel kommt habe ich hin und wieder Eiswürfel je 12 min darauf gehalten der Pickel jedoch schmerzte und vergrößerte sich Er ist rot und hat keine Öffnung.
Ich habe nun seit mehreren Wochen eine Pickel Beule an der Seite von der Stirn der sehr unschön aussieht Als ich gemerkt habe dass da ein Pickel kommt habe ich hin und wieder Eiswürfel je 12 min darauf gehalten der Pickel jedoch schmerzte und vergrößerte sich Er ist rot und hat keine Öffnung. Plötzlich kleine Pickel auf der Stirn 23 November 04 um 1911 Letzte Antwort 13 Juni 09 um 2115 Hallo, habe seit neuestem plötzlich viele kleine Pickel auf der Stirn Hatte dort vorher nicht einen!. Pickel auf der Stirn vermeiden Finger aus dem Gesicht!.
Denn durch die dicke Mähne und zusätzliche StylingProdukte wie Haarspray wird die Atmung der Haut behindert, weshalb die Talgdrüsen schneller verstopfen können. Wenn du dichtes Haar hast und einen Pony à la Caroline de Maigret trägst, könnte es ebenfalls sein, dass sich auf deiner Stirn kleine Pickel bilden Leider!. Wie man auf der Stirn sehen kann habe ich kleine Pickel die hautfarbig sind , Eiter und auch normale Pickeln Was kann ich dagegen tun und verschwinden sie auch mal habe glaub seit Monaten die gleichen Noch was zu mir mache viel Sport reine meine Haut morgens Abends mit einem Reinigungschaum von La roche , Ernähre mich normal.
Viele kleine Pickel auf der Stirn ( Beitrag #18 Naja was auch ganz gut helfen soll ist Zinkpaste, die kriegt man in der Apotheke, mach die Zinkpaste immer drauf wenn ich wieder mal besuch hab ( pickel), naja vollbringt jetzt auch keine wunder aber auf dauer gehts schon wobei ich jetzt nicht probleme mit akne oder so hab. Seit einiger Zeit habe ich so winzig kleine Pickelchen auf der Stirn Die sind nicht rot oder eitrig aber sie stören trotzdem Es sind so auf der ganzen Stirn verteilte Hubbelchen die man auch fühlen kann Kennt das vielleicht eine von euch?. Kleiner Pickel auf der Haarsträhne und Stirn, was?.
Ich mit Pickeln in der TZone überhaupt gar kein Problem, nur im Wangenbereich habe ich etwas erweiterte Poren und oft auch kleine nervige Pickelmale, die einfach nicht weggehen wollen D Wenn es sonnig ist versuche ich immer UVSchutz zu ben. Pflegeprodukte gegen kleine Pickel auf der Stirn Wirkliche Pflegeprodukte gegen Malassezia gibt es nicht und es gibt auch keine Pflegeprodukte die 100 % verantwortlich gemacht werden können Es gibt aber Inhaltsstoffe, die Malassezia fördern können. Auch unbewusste Berührungen zum Beispiel auf der Arbeit, wenn wir nachdenken, können Unreinheiten auf der Stirn begünstigen Der Grund Keime und Bakterien an den Händen, die die Poren verstopfen und Pickel entstehen lassen Und selbst bei der Haarwäsche kannst du einiges falsch machen, sodass Mitesser entstehen.
Dreck und Schweiß rufen keine Pickel hervor, aber sie beinhalten Bakterien, die sich in verstopften Poren ansiedeln und Pickel begünstigen Viele Erwachsene mit Pickeln auf der Stirn haben die Angewohnheit, sich ihr Haar mit den Händen aus der Stirn zu streifen Es ist auch möglich, die Poren mit Haarspray oder mit Haargel zu verstopfen. Folgendes Problem hat nahezu jeder schon einmal erlebt Die Stirn juckt ununterbrochen, es ist zum Aus der Haut Fahren Weil Kopfhaut und Stirn ständig äußeren Reizen ausgesetzt sind, neigen sie schnell dazu, auszutrocknen und zu jucken Das kann mehrere Ursachen haben. Was verursacht Pickel auf der Stirn?.
Wenn auf der Stirn viele kleine Pickel gegossen werden, ist es besser, einen Facharzt aufzusuchen als Selbstmedikation Er wird die richtige Behandlung ernennen, eine Diät verschreiben, die notwendigen externen und externen Medikamente verschreiben Zum Glück kann man mit Pickeln kämpfen, aber das braucht Zeit und Geduld. Die meisten Menschen hatten schon einmal Pickel auf der Stirn, da es in diesem Bereich oft einen Talgüberschuss gibt (Talg wird auch Sebum genannt) Daher verstopfen die Poren auf der Stirn schnell, sodass kleine Pickel oder Verunreinigungen auftreten Wenn du an Pickeln auf der Stirn leidest, wäre eine Möglichkeit, deine Gewohnheiten zu. 702 shares 63 views.
Dreck und Schweiß rufen keine Pickel hervor, aber sie beinhalten Bakterien, die sich in verstopften Poren ansiedeln und Pickel begünstigen Viele Erwachsene mit Pickeln auf der Stirn haben die Angewohnheit, sich ihr Haar mit den Händen aus der Stirn zu streifen Es ist auch möglich, die Poren mit Haarspray oder mit Haargel zu verstopfen. Spätestens mit der Pubertät zeichnen sie sich das erste Mal ab kleine Pickel im Gesicht, die sich gern vor allem auf der Stirn, den Wangen und der Nase zeigen Die zunächst weißgrau gefärbten Punkte auf deiner Haut werden als Talgpickel bezeichnet und können sich bei einer Entzündung schnell rötlich färben, anschwellen oder auch eitern und dann ziemlich weh tun. Sonst hab ich sowas gar nicht im Gesicht Klar hab ich so an sich auch mal nen Pickel aber alles in allem ist das kein großes Problem.
Bei der Dermatitis gibt es viele kleine Pickel, die wie ein Hautausschlag aussehen Dies tritt typischerweise um den Mund auf, kann sich aber auch um die Augen herum entwickeln und sich auf den Bereich der Schläfen und der Stirn ausbreiten. Und was kann ich dagegen tun?Da ich nicht weiß wie alt du bist können es 1000 unterschiedliche Gründe sein Wenn du so zwis. Sonst hab ich sowas gar nicht im Gesicht Klar hab ich so an sich auch mal nen Pickel aber alles in allem ist das kein großes Problem.
Folgendes Problem hat nahezu jeder schon einmal erlebt Die Stirn juckt ununterbrochen, es ist zum Aus der Haut Fahren Weil Kopfhaut und Stirn ständig äußeren Reizen ausgesetzt sind, neigen sie schnell dazu, auszutrocknen und zu jucken Das kann mehrere Ursachen haben. Kleine Pickel in der Stirn wegen Sonnencreme?. Pickel auf der Stirn, am Kinn und auf der Nase ärgern uns ja schon zu genüge woher Pickel auf den Wangen kommen und was Sie dagegen tun können Wohingegen diese Unreinheiten in der Regel hormonell bedingt Hallo Ich habe auf meiner Stirn sehr viele kleine Pickel Sonst hab ich irgendwie gar keine auf meinem Gesicht nur auf der Stirn.
Im Allgemeinen sind kleine Pickel im Gesicht und besonders auf der Stirn nicht schwerwiegend Aber wenn sie dir nicht gefallen, kannst du versuchen, sie loszuwerden KLEINE PICKEL IM GESICHT auf der Stirn in 5 en wegbekommen. Sie waren plötzlich da und gehen irgendwie nicht wieder weg. Und was kann ich dagegen tun?Da ich nicht weiß wie alt du bist können es 1000 unterschiedliche Gründe sein Wenn du so zwis.
Pickel unter der Haut sind kaum sichtbar, aber dafür sehr schmerzhaft Wir verraten Ihnen, wie Sie die unterirdischen Pickel loswerden. Viele kleine Pickel auf Nase und Stirn Sehr geehrter Herr Dr Busse, meine Tochter (10 Monate) hat seit ca 1,52 Wochen sehr viele kleine Pickel auf der Nase und auf der Stirn Sie sieht so ähnlich aus wie bei der hormonellen Umstellung, die die kleinen Babys mit etwa 6 Wochen durchlaufen. Pickel auf der Stirn – jetzt sollte die Schulmedizin gefragt sein Sieht man ständig Pickel auf der Stirn, dann sollte der Mensch die Warnhinweise der chinesischen Medizin, aber auch moderner Kenner von Akne beachten und mal den Hausarzt befragen, ob wirklich innere Organe für die ständigen Pickel auf der Stirn verantwortlich sind.
Egal wo sich Pickel im Gesicht bilden, die Ursache ist die gleiche Öl, genannt Sebum, schmiert normalerweise deine Haut und schützt sieSebum wird in kleinen Talgdrüsen, den sogenannten Talgdrüsen, produziert Öl gelangt durch kleine Löcher, die Poren genannt werden, an die Hautoberfläche. Sie fragen sich, was Haarewaschen mit Pickeln auf der Stirn zu tun hat?.

Babyakne Ursachen Und Abhilfe

Hautkrankheit Wenn Im Alter Die Pickel Wiederkommen Welt

Was Kann Ich Gegen Kleine Pickel An Der Stirn Machen Ernahrung Akne

Stirn Viele Kleine Pickelchen Fettige Haut Bilder Im Forum Fur Dermatologie
Q Tbn And9gcsvl4nvn96weg Esqcgmmxfwzuva9znktoovkfylczyfqkt0i8b Usqp Cau

Kleine Pickelchen Im Meinem Gesicht Andeutungen Auf Akne O

Unreine Haut Auf Der Stirn Ursachen Behandlung

Viele Kleine Pickelchen Im Gesicht Pickel Unreinheiten
:fill(fff,true):no_upscale()/praxistipps.s3.amazonaws.com%2F2019-01%2Fpexels-photo-1138531%2520Cropped.jpg)
Pickelnarben Auf Der Wange Mit Hausmitteln Entfernen Die 3 Besten Tricks Focus De

Was Kann Ich Gegen Kleine Hautprobleme Auf Der Stirn Tun Ernahrung Haut Pickel

Hilfe Viele Kleinen Pickel An Der Stirn Gesundheit Und Medizin Pubertat Schweiss

Unnormal Kleine Pickel Von Einem Auf Dem Anderen Auf Gesicht Und Hals Ursachen Haut Unreinheiten

Pickel Unter Der Haut Und An Der Hautoberflache Loswerden Info Tipps

Pin On Gesundheit

Pickel Unter Der Haut Und An Der Hautoberflache Loswerden Info Tipps

Anti Pickel Guide Schnell Unschone Pickel Loswerden

Neugeborenenakne Was Tun Gegen Die Baby Pickel Hallo Eltern

Pickel Auf Der Stirn Wie Sie Entstehen Und Was Man Dagegen Tun Kann

Face Mapping So Wertest Du Die Pickel In Deinem Gesicht Aus Desired De

Kleine Pickel Auf Der Stirn Ursachen Arten Behandlung Krankheiten Und Zustande 21

Unterirdische Pickel Ursachen Und Wie Du Sie Loswirst Utopia De

Hautfarbene Pickel Haut Unreine Haut

Unreinheiten Im Gesicht Was Deine Pickel Uber Dein Wohlbefinden Aussagen Beautyressort

Pickel Am Hals So Wirst Du Sie Wieder Los

Milien Das Kannst Du Gegen Hautgriess Tun Brigitte De

Viele Kleine Pickel Auf Der Stirn Bild Beauty

Junge Frau Druckt Pickel Aus Und Ware Fast Gestorben Welt

Pickel Auf Der Stirn Das Hilft Bei Fungal Akne Youtube

Akne Bei Sportlern So Schutzt Du Deine Haut Beim Training Fit For Fun

Pickel Im Gesicht Was Seine Lage Uns Verrat Brigitte De

Pickel Auf Dr Stirn

Fungal Akne So Wirst Du Sie Garantiert Los In 5 en

Gesichtsol Fur Unreine Haut Die Richtige Pflege Bei Pickel Brigitte De

Mitesser Entfernen Was Hilft Am Besten Hautinfo

Tipps Gegen Kleine Pickelchen Auf Stirn Bild Pickel

How I Helped Clear Forehead Bumps Subclinical Acne Little Bumps On Forehead How To Get Rid Of Little Bumps On Face Little Bumps O Akne Mitesser Gesicht

Face Mapping Pickel Im Gesicht Daran Kann Es Liegen

Dermatologie Wenn Mit 30 Plotzlich Pickel Spriessen Universitatsklinikum Freiburg

Pickel Auf Der Stirn Ursachen Und Sos Hilfe

5 Besten Moglichkeiten Zur Beseitigung Von Akne In Der Stirn Quick Fix Stirn Akne Kleine Beulen Im Gesicht Wie T Akne Hautpflege Akne Akne Gesicht

Was Machen Gegen Die Vielen Kleinen Pickel Auf Der Stirn Korper Arzt Haut

Gesichtsdiagnostik Was Das Gesicht Verrat Catrin And Jacob

Kleine Pickel Im Gesicht Ursachen 8 Tipps Desired De

Was Das Ist Und Wie Du Es Wieder Los Wirst Youtube

Beauty Pickel Loswerden In 2 Wochen The Limits Of Control Erfahrung

Mini Pickel An Stirn Und Kinn Was Tun Gesundheit Und Medizin

Weisse Pickel Auf Der Stirn
Haarausfall Allgemeines Forum Allgemeines Zum Thema Haarausfall Plotzlich Kleine Pickel Durch Topisches Spiro

Mini Pickel Auf Der Stirn Das Hilft Youtube

Juckender Hautausschlag Pickel Und Pusteln Um Den Mund Herum Gesundheit Br Fernsehen Fernsehen Br De

Kleine Rote Pickel Auf Der Stirn Haut

Pickel Geht Nicht Weg Monate Lang

Pickel Im Gesicht Was Seine Lage Uns Verrat Brigitte De

Face Mapping Das Sagen Dir Deine Pickel Gesicht Mapping Kleine Pickel Im Gesicht Pickel

Akne Bei Erwachsenen Wenn Mit 30 Die Pickel Bluhen Welt

Milien So Lassen Sich Die Griesskorner Auf Der Haut Behandeln

2 Jahre Kleine Pickel An Der Stirn Gesicht Creme Maske

Subklinische Akne Was Wirklich Gegen Unterirdische Pickel Hilft

Face Mapping Was Pickel Im Gesicht Uber Deine Gesundheit Verraten The Treatment Files At

Wie Bekomme Ich Diese Kleinen Pickel Unebenheiten Weg Stirn

Pickel Auf Der Stirn Ursachen Und Sos Hilfe
:fill(fff,true):no_upscale()/praxistipps.s3.amazonaws.com%2F2020-08%2Fpexels-andrea-piacquadio-3764016%2520Cropped.jpg)
Pickel Auf Der Stirn Bedeutung Und Richtige Behandlung Focus De

Face Mapping So Wertest Du Die Pickel In Deinem Gesicht Aus Desired De

Pickel Im Gesicht Was Seine Lage Uns Verrat Brigitte De

Harmlose Dinge Die Eltern In Einen Schockzustand Versetzen Konnen

Rosazea Hautentzundung Im Gesicht Behandeln Ndr De Ratgeber Gesundheit

Dadurch Bekommst Du Pickel An Der Stirn Und So Vermeidest Du Sie

Analysiert Hast Du Ein Milch Gluten Wein Oder Zucker Gesicht

Milien Bei Babys Ursachen Und Behandlung Babyartikel De Magazin

Rosacea Heilung Der Hautrotung Nur Beschrankt Moglich Minimed At

Neugeborenenakne Hautveranderungen So Sehen Neugeborene Aus Das Neugeborene Medizinisches Baby Swissmom Ch

Unterirdische Pickel Konnen Schmerzen Verursachen Was Ist Der Grund Dafur

Knubbel Unter Der Haut Was Du Gegen Unterirdische Pickel Tun Kannst Blog Meinduft

Pickelchen Beim Baby Was Steckt Dahinter Baby Und Familie

An Stirn Und Kinn Lauter Kleine Pickelchen Wie Ausschlag Was Tun Und Woher Kommt Dieser Arzt Haut Pickel

Mitesser Entfernen Das Hilft Wirklich Gegen Die Schwarzen Pickel

Face Mapping Woher Kommen Die Pickel Im Gesicht

Sehr Viele Pickel Auf Der Stirn Gehen Die Auch Mal Weg Gesundheit Haut Pubertat

Babyakne Pickel Beim Baby Netdoktor At

Pickelmale Durchsichtige Pickel Entfernen Pflege Kosmetik Schonheit

Pickel An Der Wange Was Hilft Und Wie Man Sie Verhindert

Hautveranderungen So Sehen Neugeborene Aus Das Neugeborene Medizinisches Baby Swissmom Ch

Fungal Akne Loswerden In Nur 3 en Candycush

Unterirdische Pickel Loswerden Diese Hausmittel Helfen

Kleine Pickelchen Auf Der Stirn Was Hilft

Beauty Pickel Loswerden In 2 Wochen The Limits Of Control Erfahrung

Hitzepickel Was Sie Dagegen Tun Konnen

Wie Ich Meine Kleinen Beulen Auf Der Stirn Beseitigt Habe Ein Fur Allemal Kleine Beulen Auf Der Stirn Vor Allemal Akne Hausmittel Akne Mitesser

10 Pickel Ursachen Im Erwachsenenalter Wunderweib

Unreine Haut Auf Der Stirn So Wirst Du Sie Wieder Los

Kleine Pickelchen Im Gesicht Hilfe Haut Pickel Hautpflege

Hautausschlag Oder Sind Das Pubertat Pickel

Unreine Haut Auf Der Stirn So Wirst Du Sie Wieder Los

Kleine Pickel Auf Der Stirn In 5 en Wegbekommen Malassezia Folikullitis Youtube

11 Tipps Gegen Pickel Das Hilft Wirklich Youtube

Kleine Pickel Auf Der Stirn Das Hilft Candycush