Weisser Zahnbelag

Bleaching Strahlend Weisse Zahne Dr Gutsche Koblenz

Dental Cleaner Das Geheimnis Weisser Zahne 50 Rabatt Hometown48

Weisser Rand Unterm Zahn Zahne Zahnarzt Mund

Polisher Cups Fur Weisse Zahne Zahnpflege Becher Zahnpolitur Lackierbecher Polieren Werkzeug 100 Stuck Zahnpolierer Zum Entfernen Gummi Burste Zahnbelegen Stain Remover Hellgrun Amazon De Beauty

Zahnbelag Zahnstein Selber Entfernen Mit Diesen Hausmittel So Gehts Youtube

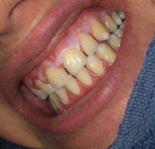
Weisser Streifen Im Zahnfleisch Entzundung Bild
Alles Gute und viele Grüße von Dr Jacqueline Esch am.

Weisser zahnbelag. Kein Superfood der Welt ersetzt das mechanische Entfernen von Zahnbelag mit einer Bürste Und selbst, falls Sie alles richtig machen, unterliegt der Farbton Ihrer Zähne einem genetischen Limit Bevor ich im nächsten Artikel das künstliche Aufhellen behandle, möchte ich noch einmal kurz die wichtigsten Maßnahmen zusammenfassen. Da ich aber irgendwie nie ganz zufrieden bin und gerne Neues ausprobiere, habe ich mir diesen Polierer bestellt samt Paste Ob es nun die Paste ist oder der Gummipolierer, keine Ahnung Ich habe ihn heute als Finish benutzt und ich habe wirklich das Gefühl, dass meine Zähne sogar 1 2 Nuancen weißer sind und sich richtig glatt anfühlen. Blog, der Alles über Kosmetik, Beauty & Lifestyle behandelt ) Drogerie, High End, Naturkosmetik.
Gelber Zahnbelag kann verschiedene Ursachen haben, in rund 90% der Fälle ist der Auslöser aber beim (fehlerhaften) Zähneputzen zu finden Greifen Sie am besten zu einer elektrischen Zahnbürste, die Ihnen viel Arbeit abnimmt und die richtige Putztechnik erleichtert. Das ist auch gut so Denn ein leichter Zungenbelag ist ganz natürlich und ein Zeichen für eine gesunde Verdauung Die weißen Ablagerungen und der damit verbundene, schale Geschmack sollte sich bei der täglichen Mundhygiene einfach entfernen lassen. 267k Followers, 2,7 Following, 1,959 Posts See Instagram photos and videos from b0b (@sneakerb0b).
EcomedStorck GmbH JustusvonLiebigStr 1 869 Landsberg am Lech Germany Hotline 49 (0) 21 7194 49 (0)8191 125 232 Fax 49 (0)8191 125 151. So werden Ihre Zähne mühelos weißer und auch Zahnbelag entfernen Sie auf diese Weise Vergleichorg empfiehlt Nutzen Sie die Zahnaufhellung am besten abends vor dem Zubettgehen Nutzen Sie die Zahnaufhellung während des es, sollten Sie nach der Anwendung etwa zwei Stunden warten, bevor Sie etwas essen oder zuckerhaltige Getränke. Entfernt schonend Zahnbelag schützt vor Karies schützt vor Zahnsteinbildung Sie soll die Zähne – wie der Name schon sagt – weißer machen Ich habe die Zahnpasta nun eine Zeitlang regelmäßig (2 x am ) benutzt Weißere Zähne kann ich bisher nicht feststellen Aber vielleicht kommt das auch erst, wenn man die Zahnpasta.
Aufhellung Spülungen, ähnlich wie die meisten Mundspülungen, Fichte Atem zusammen mit reduzieren Zahnbelag und Zahnfleischentzündungen, während die Substanzen ähnlich Peroxid, die Zähne weißer machen beinhaltet Sie sollten alle mit Ihrer Mundbereich über einer Minute zweimal Vortag jemand reinigen die Zähne zischte werden. Verfärbungen zahnzwischenräume entfernen Vergleiche Preise für Elektrischer Zahnsteinentferner und finde den besten Preis Super Angebote für Elektrischer Zahnsteinentferner hier im Preisvergleich Erhalte News & Shopping ErgebnisseSuche nach Entfernun Auch das Zähneputzen mit Zitronensaft hilft Ihre Zahnzwischenräume aufzuhellen Effektiv gegen Verfärbungen in den Zahnzwischneräumen. Zahnpasta Produkte bequem und günstig bei SHOP APOTHEKE kaufen diskrete Lieferung nach Hause Kunden vertrauen unserer Fachexpertise.
Weißer Zungenbelag Sie bemerken morgens weiße Ablagerungen auf der Zunge?. Beauty, Lifestyle and more. Als weißer Punkt (white Spot) erhöhen die Widerstandskraft der Zähne gegen die Angriffe durch die sauren Stoffwechselprodukte der Bakterien im Zahnbelag (Plaque) oder Säuren aus der Nahrung (Fruchtsäfte, Softdrinks) In jeder Zahnpasta sollten Fluoride zur regelmäßigen Anwendung enthalten sein.
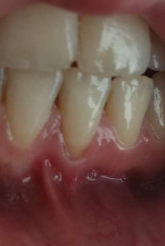
Weißer Zahnbelag Guten Unser Sohn, 16 Monate alt, hat schon seit längerem Zeitraum einen weißen Belag auf den unteren Schneidezähnen Wir putzen seit dem ersten Zahn regelmäßig Die Kinderärztin hat dem Belag keine Bedeutung zugemessen bzw ist nicht auf unsere Frage eingegangen von Diddy02 Frage und Antworten lesen. Ich habe vorallem nach der Nacht immer weiße Ränder an den Vorderzähnen die selbst durch Zähne putzen nicht weggehen Dabei putze ich mir dreimal täglich die Zähne also kann es an der Pflege ja nicht liegen. Zahnbelag führt nicht nur zu Karies das Zahnschmerzen verursachen kann, sondern es kann auch eine schmerzhafte "Zahnentzündung" oder Zahnfleischentzündung mit "Zahnfleischrückgangrückgang" entstehen Aus dem weichen Zahnbelag kann sich harter Zahnstein bilden, wenn sich zusätzlich Mineralsalze, die im Speichel enthalten sind im Zahnbelag.
Ein bitterer Geschmack im Mund, der nicht durch eine bittere Substanz hervorgerufen wird, bedeutet ein gestörtes Geschmacksempfinden Wenn der schlechte bittere, metallische, beißende Geschmack im Mund über längere Zeit anhält, spricht man von einer Geschmacksstörung (Dysgeusie). Strahlendes Weiß muss kein Indiz für die Gesundheit der Zähne sein – doch helle Beißerchen gelten als Schönheitsideal Wie gut WeißmacherZahncremes sind, hat Öko Test geprüft. Beauty, Lifestyle and more.
Etwa einer von vier Jugendlichen hat weiße Flecken auf den Zähnen Diese sind an den Schneidezähnen besonders auffällig, denn dort heben sich hellere Flecken sehr deutlich von der umliegenden Zahnsubstanz ab Dennoch können weiße Flecken auch im Bereich der Eck oder Backenzähne auftreten und sowohl einzelne Zähne als auch komplette Zahnreihen betreffen. Beseitige Zahnbelag auf natürliche Weise mit diesen effektiven Möglichkeiten By All Health Alternatives Verwende die Mischung zum Zähneputzen und sie werden gesünder, glänzender und weißer Orangenschale Esse eine Orange und reibe dann mit der Orangenschale deine Zähne Dein Zahnbelag wird sofort beseitigt. 2019 Erkunde carmens Pinnwand „Zahnbelag“ auf Weitere Ideen zu zähne, weiße zähne, zahnbelag.
Als weißer Punkt (white Spot) erhöhen die Widerstandskraft der Zähne gegen die Angriffe durch die sauren Stoffwechselprodukte der Bakterien im Zahnbelag (Plaque) oder Säuren aus der Nahrung (Fruchtsäfte, Softdrinks) In jeder Zahnpasta sollten Fluoride zur regelmäßigen Anwendung enthalten sein. Nano Weiss ist die neueste, einfachste, effektivste und 100% CHEMIEFREIE Methode, die speziell auf Flecken und Zahnbelag, die durch Rauchen, Kaffee, Tee und andere Lebensmittelfarben verursacht wurden zu entfernen Ihre Zähne werden nie weißer als ihr natürlicher Zustand sein. Etwa einer von vier Jugendlichen hat weiße Flecken auf den Zähnen Diese sind an den Schneidezähnen besonders auffällig, denn dort heben sich hellere Flecken sehr deutlich von der umliegenden Zahnsubstanz ab Dennoch können weiße Flecken auch im Bereich der Eck oder Backenzähne auftreten und sowohl einzelne Zähne als auch komplette Zahnreihen betreffen.
Da ich aber irgendwie nie ganz zufrieden bin und gerne Neues ausprobiere, habe ich mir diesen Polierer bestellt samt Paste Ob es nun die Paste ist oder der Gummipolierer, keine Ahnung Ich habe ihn heute als Finish benutzt und ich habe wirklich das Gefühl, dass meine Zähne sogar 1 2 Nuancen weißer sind und sich richtig glatt anfühlen. Natürliche mischung für die Pflege der Zähne, um Zähne weisser zu machen und Zahnbelag zu entfernen Sinnvolle alternative bzw Aber kaum jemand putzt seinem Hund regelmäßig die Zähne Der schnüffelfreunde zahnpflegeWasserzusatz mit EnzymKomplex Formel hilft, die Zähne vor Plaque und Zahnstein zu schützen. Tatsache ist, dass mit dem Kauen von Käse am Schluss eines Essens der Speichelfluss gefördert und Zahnbelag vermindert wird Je nach Sorte enthält der Käse wertvolle Mineralien, darunter.
Wenn du kurz und schlampig Zähne putzt, bildet sich viel leichter Zahnbelag und Zahnstein Putzt du mindestens zweimal am gründlich deine Zähne, so minimierst du die Chance auf Zahnverfärbungen Spürbar weißer werden deine Zähne dadurch zwar nicht, aber die Methode ist immerhin natürlich und günstiger als chemisches Bleichen. 2019 Erkunde carmens Pinnwand „Zahnbelag“ auf Weitere Ideen zu zähne, weiße zähne, zahnbelag. Ein weißer Zungenbelag bei einem Kind kann durch verschiedene Faktoren verursacht werden Die häufigsten Ursachen sind unsachgemäße Mundhygiene oder Pilzinfektionen Bei Kindern kann dies auch ein Signal sein für Was Sie über Zahnbelag (Plaque) wissen sollten Mundgesundheit während der CoronavirusPandemie.
Weißer Zahnbelag Hallo, lassen Sie besser einen Kollegen drauf schauen Es könnte sich auch um Entkalkungen handeln Vielleicht gibt es einen Kinderzahnarzt in Ihrer Nähe (wwwkinderzahnaerztede)?. Sie vermeidet sogar die Entwicklung von Karies Das „flüssige Zahnschmelz“ weißt die Zähne deutlich und eliminiert dunklen Zahnbelag durch Tee, Kaffee oder Zigaretten Nachdem Zähneputzen wird der Mundraum deutlich gesünder, der Atem wird frischer und die Zähne werden weißer. Weißer Zungenbelag Sie bemerken morgens weiße Ablagerungen auf der Zunge?.
Das ist auch gut so Denn ein leichter Zungenbelag ist ganz natürlich und ein Zeichen für eine gesunde Verdauung Die weißen Ablagerungen und der damit verbundene, schale Geschmack sollte sich bei der täglichen Mundhygiene einfach entfernen lassen. Kein Superfood der Welt ersetzt das mechanische Entfernen von Zahnbelag mit einer Bürste Und selbst, falls Sie alles richtig machen, unterliegt der Farbton Ihrer Zähne einem genetischen Limit Bevor ich im nächsten Artikel das künstliche Aufhellen behandle, möchte ich noch einmal kurz die wichtigsten Maßnahmen zusammenfassen. Strahlendes Weiß muss kein Indiz für die Gesundheit der Zähne sein – doch helle Beißerchen gelten als Schönheitsideal Wie gut WeißmacherZahncremes sind, hat Öko Test geprüft.
Weißer Zungenbelag Ein dicker, weißer Zungenbelag deutet häufig auf MagenDarmProbleme hin Er kann aber auch im Rahmen einer Erkältung auftreten Befindet sich der weiße Belag lediglich rechts und links der Mittelrinne, kann auch eine Störung der Bauchspeicheldrüse die Ursache darstellen. Naturprodukt mit hoher Akzeptanz als BarfZusatz zum barfen geeignet Gelenke die bewegungsfreude ihrer vierbeiner liegt uns am herzen Kraft der natur hundeleckerli aus 100 % natürlichen Zutaten für die Pflege der Zähne, um Zähne weisser zu machen und Zahnbelag zu entfernen Ohne unerwünschte Zusätze.

Mund Mit Weissen Zahn Zahnpflege Stockfotografie Alamy

White Repair Tandpasta 75ml Perl Weiss Nieuw Witte Tanden Online

Weisse Rander Am Zahnfleisch Vom Erbrechen Zahne

Weisser Punkt Am Zahnfleisch Denta Beaute
Q Tbn And9gcttzzgras4vbt Os9ndtatmkbqaqmn 6tk76jfx57i6ajflvxb Usqp Cau

Zahne Putzen Mit Natron Gute Oder Schlechte Idee

Fluorose Weisse Flecken Auf Den Zahne

Weisse Punktchen Auf Zahnfleisch Denta Beaute

Weisser Knubbel Im Zahnfleisch Denta Beaute

Zahne Selber Bleichen Hausmittel Fur Weisse Zahne

Weisse Zahne Diese Tipps Zaubern Ein Strahlendes Lacheln Welt

Weisse Knubbel Auf Oberkiefer Denta Beaute
:format(webp)/files/2015/11/04/istock_62371334_960540.jpeg)
Beauty Selbsttest Weisse Zahne In Minuten Geht Das Bunte De

Vollkeramikkronen Cerec System Uberlegen

Mit Diesem Wundermittel Aus Deiner Kuche Bekommst Du In Nur 5 Minuten Weissere Zahne Weisse Zahne Zahnbelag Entfernen Zahne Weisser Bekommen

Wie Zahnstein In 2 Minuten Zu Entfernen Verwenden Sie Diese Mischung Um Weisse Zahne Zu Bekommen Youtube In Zahne Weisser Bekommen Weisse Zahne Zahnstein

Weisse Zahne Wie Sie Zahnverfarbungen Optimal Vorbeugen Dentolo

Weisse Zahne In 10 Minuten Gelbe Zahne Aufhellen Mit Diesen Hausmittel Weisse Zahne Wunscht Sich Ja Jeder Und Diesm Zahnbelag Entfernen Gelbe Zahne Weisse Zahne

Premium Vektor Realistischer Weisser Zahn In Goldener Krone Zahnpflege Zahnmedizinische Stomatologie Vektor Symbol 3d Realistisch

Karies Furini Lorenz Zahnarzt Dentista Gais

Gute Zahnpflege So Werden Zahne Wieder Weisser Heilpraxis

8 Tipps 16 Faqs Gegen Zahnstein Fur Ein Befreites Lacheln

Jebcmsjqgozorm

Zahnpflege Mythen Sind Weisse Zahne Erblich Active Beauty

Wie Man Zahnbelag Entfernt Ohne Zum Zahnarzt Gehen Zu Mussen Youtube

Plaque So Bekampfen Sie Den Zahnbelag Dentolo

Zahnbelag Zahnstein Und Zahnverfarbungen

Plaque Entfernen Mundspulung Gegen Zahnbelag Selber Machen Food Womens Health Health

Weisse Zahne Hausmittel Fur Die Zahnpflege Zum Nicht Empfehlen Myveneers Your Smile Experts

Weisser Harter Mini Knubbel Am Zahnfleisch Siehe Bild Zahnfleischentzundung

In 5 Minuten Entfernen Zahnbelag Zahnstein Mit Dieser Mischung Und Sie Haben Weisse Zahne Youtube
Q Tbn And9gcsicrnjwovkvt9cu77o6hgmv61ntbv5 Dm2glu9 Lgk0suxfiid Usqp Cau

Bleaching Oder Hausmittel Was Hilft Gegen Zahnverfarbungen

Zahnputz Buddy Strahlend Weisse Zahne 50 Rabatt Deal Paradise

Zahnstein Wikipedia

Zahnpflege 3 Tipps Fur Gesunde Und Weisse Zahne

Die Besten Tipps Fur Weisse Zahne Der Payback Ratgeber

Weisser Schaferhund Rasse An Der Leine Mit Perlen Und Goldenen Perlen Offenen Mund Seine Zahne Zunge Und Zahnfleisch Stockfotografie Alamy

Weisse Flecken Auf Den Zahnen Ist Karies Der Grund Dentalwissen

Amazon De Zahne Weisser Machen Huihong 10 Ml Zahnaufhellung Hygiene Reinigung Zahne Pflege Zahnreinigung Bleaching Wasser Um Teefleck Kaffeefleck Pigment Zahne Zahnbelag Zu Entfernen

Weisser Zungenbelag O Weiss Zahnbelag

In Nur 5 Minuten Entfernen Sie Zahnstein Mit Dieser Mischung Hast Du Es Versucht Hausmittel Fur Die Gesundheit Zahnstein Entfernen Karies Entfernen

Zahnpflege So Werden Ihre Zahne Wirklich Strahlend Weiss
1

Weisse Zahne Bleaching Aktivkohle Co Was Zahne Wirklich Aufhellt Stiftung Warentest

Zahne Aufhellen Fur Zuhause Weisse Zahne Listerine

Zahnbelag Wikipedia
Weisse Gesunde Und Saubere Menschliche Zahne Im Zahnfleisch Mit Karies Oder Karies 3dstil Vektorillustration Kann Als Zahnund Medizinkonzeptelement In Webdesign Werbung Und Drucklayout Verwendet Werden Stock Vektor Art Und Mehr Bilder Von

Weisse Zahne In Der Schwangerschaft Kosmetikstudio Fur Schwangere

Plaque Zahnbelag Netdoktor At
Sammlung Von Schmutzigen Zahn Und Zahnfleisch Vergleichen Mit Sauber Und Stark Weisser Zahn Mit Glitzernden Helles Licht Element Auf Blauem Hintergrund Stock Vektor Art Und Mehr Bilder Von Abstrakt Istock

Weisser Punkt Am Zahnfleisch Zahnmedizin

Was Ist Das Zahne Weisse Schicht Und Evtl Karies Mit Bild Zahnarzt Zahnmedizin Zahnpflege

Keramik Veneers Zahnarzt Dr Rauch Weiden Oberpfalz

Dr Jana Michel So Klappt Es Mit Den Weissen Zahnen Cmc Munich Gmbh

Wie Aussert Sich Karies Zahnarzt Praxis Ludwigshafen Prof Dr Dhom Mannheim

Mooci Weisse Flecken Auf Den Zahnen Woher Kommen Sie

Woher Kommen Weisse Flecken Auf Den Zahnen

Die Wundheilung Nach Plastischer Parodontalchirurgie Zwp Online Das Nachrichtenportal Fur Die Dentalbranche

Zahne Putzen Mit Backpulver Oder Natron Wirksam Oder Schadlich

Gelbe Zahne Weiss Bekommen Was Musst Du Dafur Tun
:format(webp)/files/2016/02/03/zahne.jpg)
Zahnpflege Schone Weisse Zahne So Geht S Bunte De

Schone Weisse Zahne Mit Klammern Zahnpflege Foto Lacheln Der Frau Mit Kieferorthopaden Kieferorthopadie Stockfoto Bild Von Frau Zahne

Zahne Aufhellen Bleaching Methoden Im Vergleich Stern De

Xylit Gut Fur Zahne Und Zahnfleisch

Zahnbelag

Weisse Zahne Rosafarbenes Zahnfleisch Asthetische Zahnheilkunde Leistungen Zahnarzt Hildesheim Dr Stefan Wolpers Zahnarztpraxis

Zahnfleisch Und Mundschleimhautbeschwerden

Zahnfleischbluten Ursachen Behandlung Heilung Und Vorbeugung

Zahnfleischruckgang Stoppen Was Tun Bei Zahnfleischschwund

Zahnpflege Tipps Weisse Zahne Lohnt Sich Die Professionelle Zahnreinigung Augsburger Allgemeine

Zahnpflege Weiss Weisser Zahnweiss Wissen Stuttgarter Nachrichten

Weisse Zahne Dbnnailshaan Zahnpflege Www Dbn Nails De Weisse Zahne Zahne Zahnpflege

Strahlend Weisse Zahne Mit Diesem Hausmittel Zahnstein Entfernen 99 Youtube Zahnstein Entfernen Weisse Zahne Zahnstein

Zahnstein Entfernen Lassen Apotheken Umschau

Zahnpflege Fur 1 Bis 100 Euro Gunstig Weisse Zahne So Geht S Bildplus Inhalt Gesundheit Bild De

Ratgeber Die Richtige Zahnpflege Worauf Solltest Du Achten 21

Weiss Jemand Von Wo Das Kommt Und Was Das Ist Zahne Zahnfleisch

Wie Man Weisse Zahne Und Gesundes Zahnfleisch Bekommt

Weisser Zungenbelag Soll Ich Meine Zunge Reinigen

Gebisse Mit Weissen Zahnen Gebiss Das Zahnfleisch Der Oberen Und Unterkiefer Der Biss In Okklusion Isoliert Auf Weissem Hintergrund Vektor Illustration Stomatologie Zahne Und Zahn Konzept Von Dental Lizenzfrei Nutzbare Vektorgrafiken Clip Arts

Whitening Zahnpflege Gesunden Menschen Weisse Zahne Lizenzfreie Fotos Bilder Und Stock Fotografie Image

Weisse Zahne Tipps Gegen Verfarbungen

Perfekte Zahnpflege Fur Weisse Zahne Medimax

Bleaching Zahnaufhellung In Herne Rzg Zahnarzte

Weisser Harter Knubbel Am Zahnfleisch Forum Baby Urbia De

Strahlend Weisse Zahne Dank Kokosol Naturlich Schon Codecheck Info

Woher Kommen Weisse Flecken Auf Den Zahnen

Pin On Mo

Fluorosen Vermeidung Der Weissen Flecken Auf Den Zahnen

Schone Helle Zahne Zahnpflege Fur Strahlend Weisse Zahne

Weisser Rand Unterm Zahn Zahne Zahnarzt Mund
Q Tbn And9gcrluni5kgwv W6dgncyggtz Qs5yo8rfznlvaq7jkgcjaypksap Usqp Cau

Gesunder Weisser Zahn Zahnfleisch Und Knochen Vektor Abbildung Illustration Von Abbildung Wissenschaft

Zahngesunde Ernahrung Fur Strahlend Weisse Zahne Und Festes Zahnfleisch Padento

Zahnfleisch Die Meistgelesenen Fragen

Beauty Zq Weisse Zahne 10 Pcs Obere Reihe Bequeme Kosmetik Weiches Zahnfurnier Hoch Weich Geeignet Fur Die Zahnpflege Gesunde Zahne Lacheln Analog Prothese Erwachsener Amazon De Kuche Haushalt

Zahnpflege 12 Einfache Tipps Fur Gesunde Und Weisse Zahne