Hautschuppen Im Gesicht Was Tun

Schuppige Haut Ursachen Behandlung Hilfe Medlexi De

Schuppenflechte Ursachen Symptome Behandlung Apotheken Umschau

Experte Klart Auf So Werden Sie Schuppenflechte Fur Immer Los Gesundheit

Trockene Wangen Und Das Fleckige Leid Magimania Beauty Blog

Trockene Haut Ursachen Und Tipps Mit Pflege Wird Ihre Haut Samtweich

Trockene Haut Ursachen Und Tipps Mit Pflege Wird Ihre Haut Samtweich
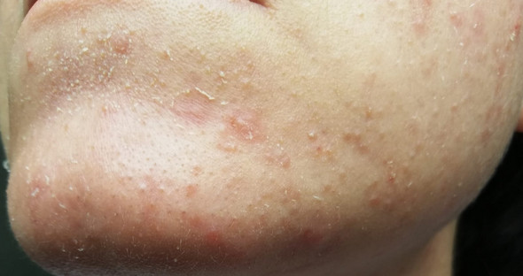
Trockene Haut im Gesicht brennt, juckt und tut weh Zu allem Überfluss sieht sie auch noch unschön aus und Makeup ordentlich aufzutragen, ist hier auch nicht so easy Also was tun?.

Hautschuppen im gesicht was tun. Was tun gegen besenreiser im gesicht Der absolute Vergleichssieger Um Ihnen als Kunde die Wahl des perfektes Produktes etwas abzunehmen, haben wir außerdem einen Favoriten gekürt, welcher unter allen getesteten Was tun gegen besenreiser im gesicht stark herausragt vor allem im Bezug auf Verhältnismäßigkeit von Preis und Leistung. Bei einer Allergie im Gesicht rötet sich die Haut und es bilden sich juckende Pusteln Das ist nicht nur aus ästhetischen Gründen unangenehm, sondern kann auch ernste gesundheitliche Ursachen haben. 21 Was tun, wenn nichts wirklich helfen will?.
21 Was tun, wenn nichts wirklich helfen will?. 1 Pickel im Gesicht 11 Was Pickel im Gesicht verursacht 111 Pickel im Gesicht durch äußere Ursachen;. 12 Wie Pickel im Gesicht zu heilen sind 2 Wie sich die Haut bei Akne pflegen lässt 001 Kurz und knapp;.
Manchmal ist die Haut krank Nicht immer handelt es sich bei Schuppen auf oder unter den Augenbrauen um trockene Haut Vor allem wenn die betroffenen Areale stark jucken, ist es ratsam, einen Hautarzt aufzusuchen Von einer oben beschriebenen Pflege sollten Sie dann besser absehen. Bei einer Allergie im Gesicht rötet sich die Haut und es bilden sich juckende Pusteln Das ist nicht nur aus ästhetischen Gründen unangenehm, sondern kann auch ernste gesundheitliche Ursachen haben. 112 Pickel durch verstopfte Poren;.
Ein Rauchstopp hilft, Schuppenflechte im Gesicht zu bekämpfen (© Knut Wiarda fotolia) Die Schuppenflechte (Psoriasis) gehört zu den häufigsten entzündlichen Hautkrankheiten Gerötete, schuppige Haut vor allem an Armen und Beinen, Kopfhaut und Rücken kann die Lebensqualität einschränken Das Gesicht ist zwar nur selten betroffen, aber an dieser exponierten Stelle ist die Psoriasis. Auch Fußpilz wird durch direkten Kontakt mit den erkrankten Hautschuppen übertragen Wenn sich die Hautschuppen vom Körper lösen, ist eine Ansteckung auch über lose Schuppen möglich, zum Beispiel im Schwimmbad, da Pilze eine feuchte Umgebung mögen Streptokokken werden ebenfalls durch Schmierinfektion übertragen. Ausschlag im Gesicht ist für Betroffene besonders unangenehm Wie ein sogenanntes Exanthem entstehen kann und was dagegen hilft, erfährst du hier.
Sie haben gerade gesehen, dass Ihr 11 Monate altes Baby auch Pickel im Gesicht hat Wangen , Kinn oder die Stirn Sie wissen nicht, wofür Sie verantwortlich sein werden dieser Ausschlag von Pickeln im Gesicht Ihres Kindes Die überwiegende Mehrheit der Hautausschläge im Gesicht des Kindes ist sicher. Extrem trockene Hauptpartien im Gesicht was tun ich habe seit vor gestern richtig extrem trockene Haut an den Wagen und um die Nase herum, sowie an Stirn und Kiefer Ich glaub das liegt an der neuen Reinigungslotion bei dem hab ich gelesen dass das trockenheit bei schon trockener Haut hervorrufen kann. Die Bildung feiner Linien im Gesicht, die mit den Jahren immer deutlicher sichtbar werden, gehört zum natürlichen Alterungsprozess der Haut Doch Falte ist nicht gleich Falte Welche unterschiedlichen Faltenarten es gibt – und was Sie dagegen tun können.
Wir haben gesammelt, recherchiert und getestet Von der richtigen Creme bis zur perfekten Foundation Das sind die besten Produkte gegen trockene Gesichtshaut. Wenn man Pickel im Gesicht hat und diese loswerden will, dann werden die folgenden Informationen weiterhelfen Wir haben unsere Erfahrungen mit AntiPickelMitteln, Kosmetikern und Hautärzten gesammelt und hier übersichtlich zusammengefasst Wir möchten einen Weg aufzeigen, was man gegen Pickel im Gesicht tun kann. 113 Hormone Gut zu wissen!.
Das ist besonders im Gesicht und in der TZone der Fall, aber auch im oberen Rücken und im Dekolleté", sagt der Hamburger Dermatologe Prof Dr Volker Steinkraus im Interview mit RTLde. Ich habe schon seit langer Zeit (ca 4 Jahre) sehr viele Schuppen im Gesicht und meine Haut ist extrem fettig (besonders Stirn, Nase, zwischen den Augenbrauen) und ich weiß einfach nicht, was ich dagegen machen soll. Dabei wissen die meisten nicht, wo genau die nervige Gesichtsfarbe herkommt – und was man dagegen tun kann Tatsächlich gibt es ganz unterschiedliche Ursachen, die dafür in Frage kommen Rötungen im Gesicht häufige Ursachen und Behandlungen 1 Rosazea.
Dabei wissen die meisten nicht, wo genau die nervige Gesichtsfarbe herkommt – und was man dagegen tun kann Tatsächlich gibt es ganz unterschiedliche Ursachen, die dafür in Frage kommen Rötungen im Gesicht häufige Ursachen und Behandlungen 1 Rosazea. 1 Pickel im Gesicht 11 Was Pickel im Gesicht verursacht 111 Pickel im Gesicht durch äußere Ursachen;. 113 Hormone Gut zu wissen!.
Verstopfte Poren im Gesicht treten heutzutage nicht nur in der Pubertät auf. Wir haben gesammelt, recherchiert und getestet Von der richtigen Creme bis zur perfekten Foundation Das sind die besten Produkte gegen trockene Gesichtshaut. Sanfte Peelings, die zum Teil auch jeden angewendet werden können, helfen, dass sich Hautschuppen lösen und die Talgdrüsen nicht verstopfen Verstopfte Poren im Gesicht was tun?.
Ausschlag im Gesicht ist für Betroffene besonders unangenehm Wie ein sogenanntes Exanthem entstehen kann und was dagegen hilft, erfährst du hier. Extrem trockene Hauptpartien im Gesicht was tun ich habe seit vor gestern richtig extrem trockene Haut an den Wagen und um die Nase herum, sowie an Stirn und Kiefer Ich glaub das liegt an der neuen Reinigungslotion bei dem hab ich gelesen dass das trockenheit bei schon trockener Haut hervorrufen kann. Sie haben gerade gesehen, dass Ihr 8 e altes Baby Pickel hat, die auch im Gesicht auftreten werden Wangen , Kinn oder die Stirn Sie wissen nicht, wofür verantwortlich ist dieser Ausschlag von Pickeln im Gesicht Ihres Kindes Die meisten Hautausschläge im Gesicht des Babys sind sicher.
Extrem fettige, schuppige Haut im Gesicht, was tun?. 12 Wie Pickel im Gesicht zu heilen sind 2 Wie sich die Haut bei Akne pflegen lässt 001 Kurz und knapp;. Je älter man wird, desto trockener und dünner wird die Haut im Gesicht Hinzu kommen täglich unzählige Gesichtsregungen , was die Haut weiter strapaziert Je nachdem, welchen Lebensstil man führt, äussern sich all diese Faktoren eines es in ersten Fältchen, die im Lauf der Zeit tiefer werden.
112 Pickel durch verstopfte Poren;. 8 Tipps gegen kleine Pickel im Gesicht Wenn du verstehst, wie und warum sich Hautporen entzünden und wie Akne im Gesicht entsteht, weißt du auch, was du tun kannst, um sie zu vermeiden bzw loszuwerden #1 Gesunde Ernährung Ganz viele Unreinheiten im Gesicht sind auf den Darm zurückzuführen. Laut Statistik hatten 40% der Bevölkerung schon mal mit Warzen zu tun In diesem Artikel geht es um Ursachen, Vorbeugung, aber vor allem um die Behandlung von Warzen im Gesicht sowohl von Erwachsenen also auch von KindernDie Behandlung der Warze sollte sich auf jeden Fall nach der Ursache der Warze, also nach der jeweiligen Warzenart, richten.
Gesicht zweimal täglich reinigen Durch die richtige Pflege lassen sich Hautprobleme durch Masken auch vorbeugen Am besten sei es, die Haut im Gesicht zweimal täglich zu reinigen Hierfür eignen sich seifenfreie Waschlotionen mit einem pHWert von 5,5, fettfreie Reinigungsgele, schwach saure Emulsionen oder Schäume mit geringem Lipidanteil.

Trockene Schuppige Haut Ursachen Pflege Tipps Kanyo

Trockene Haut Ursachen Und Tipps Apotheken Umschau

Mitesser Wirksam Entfernen Wie Sie Unreinheiten Im Gesicht Loswerden

Milien Erfolgreich Entfernen Griesskorner Gesundheit De

Wie Ich Meine Hautschuppen Und Hautprobleme Gelost Habe

Trockene Haut Im Gesicht Diese 4 Produkte Und 3 Hausmittel Helfen

Unschones Problem Was Tun Bei Schuppigen Augenbrauen Gesundheitstrends
Q Tbn And9gct9hrzjxwpjvdfb8b92sxrgjristnzqmpre2ahts11dqbc O5of Usqp Cau

Trockene Haut Beim Baby Das Konnen Sie Gegen Trockene Hautstellen Tun

Hausmittel Gegen Trockene Haut Was Hilft Schnelle Hilfe Und Alternative Heilmittel Krank De

Rosacea Was Steckt Hinter Den Rotungen Eau Thermale Avene

Trockene Haut Unter Den Augen Eau Thermale Avene

Schuppige Haut Ursachen Und Behandlung Heilpraxis

So Waschst Du Dein Gesicht Richtig The Treatment Files De

Trockene Schuppige Haut Ursachen Pflege Tipps Kanyo

Schuppige Haut Das Hilft Schuppige Haut Haut Trockene Haut Gesicht

Psoriasis Kommt Selten Allein

Sichtbare Anzeichen Der Haut Fur Nahrstoffmangel

Trockene Haut Ursachen Und Tipps Apotheken Umschau

Trockene Haut Im Gesicht

Trockene Schuppige Haut Ursachen Pflege Tipps Kanyo

Trockene Und Juckende Stirn Das Kannst Du Sofort Tun

Trockene Schuppige Haut Ursachen Pflege Tipps Kanyo

Rosazea Hautentzundung Im Gesicht Behandeln Ndr De Ratgeber Gesundheit

Fettige Haut Medipharma

Trockene Schuppige Haut Ursachen Pflege Tipps Kanyo

Was Hilft Bei Trockenheit Gesundheit Und Medizin Gesundheit Ernahrung

Tips Wie Make Up Besser Auf Der Nase Halt Justme Rachel Youtube

Trockene Haut Im Gesicht

Schuppige Haut Das Hilft Brigitte De

Trockene Haut Bei Diesen Anzeichen Sollten Sie Einen Arzt Aufsuchen Gesundheit

Images ged With Kurbisenzyme On Instagram

Seborrhoisches Ekzem Symptome Ursachen Loyon

Was Tun Bei Trockener Und Unreiner Haut Binu

Was Tun Bei Trockener Und Unreiner Haut Binu

Was Kann Man Dagegen Tun Ausser Eincremen Zyarin Tabletten Gut Krankheit Haut Schuppen

Peeling

Peelings Richtig Anwenden Und Selber Machen Eurapon

Hallo Ich Habe Neurodermites Und Bekomme Rote Felcken Im Gesicht Hautschuppen Was Hilft Neurodermitis

Kleine Pickel Im Gesicht Ursachen 8 Tipps Desired De

Hautschuppen Im Gesicht Entfernen

Trockene Haut Ursachen Und Tipps Apotheken Umschau

Sichtbare Anzeichen Der Haut Fur Nahrstoffmangel

Schuppen Jucken Brennen Wenn Die Haut Unter Deinem Bart Durchdreht Gold S

Kurzer Pflege Ratgeber Wie Entstehen Trockenen Hautschuppen Im Gesicht Wie Konnen Sie Entfernt Werden

Woher Kommen Trockene Stellen Im Gesicht Liebenswert Magazin

Dermaplaning Ist Die Rasur Im Gesicht Fur Den Glow Eine Gute Idee Gesundheitstrends

Trockene Haut Welche Ursachen Konnen Dahinterstecken Was Hilft Onmeda De

Haut Gesunde Kopfhaut Br De Haut Schuppen Haare Was Tun Gegen Schuppen
:fill(fff,true):no_upscale()/praxistipps.s3.amazonaws.com%2F2019-10%2Fstruggle-3805349_1920.jpg)
Rote Flecken Im Gesicht Das Sind Die Ursachen Focus De

Seborrhoisches Ekzem Was Gegen Hautausschlag Und Schuppen Hilft

Trockene Und Juckende Stirn Das Kannst Du Sofort Tun

Was Hat Es Mit Grossen Poren Auf Sich Kosmetikfuchs Magazin

Wunde Nase Schnelle Hilfe In Der Erkaltungszeit Linola

Kopfgneis Beim Baby Erkennen Und Entfernen Kanyo

Tipps Hausmittel Gegen Hautrotungen Gesuendernet Ratgeber Fur Gesundheit Medizin Und Krankheiten

So Waschst Du Dein Gesicht Richtig The Treatment Files De
:fill(fff,true):no_upscale()/praxistipps.s3.amazonaws.com%2F2020-01%2Feye-3705341_1920%2520Cropped.jpg)
Schuppige Augenbrauen Das Konnen Sie Tun Focus De

Mundrose Was Ihnen Jetzt Hilft

Schuppige Haut Ursachen Behandlung Pflege Bepanthen

Trockene Babyhaut Ursachen Und Die Richtige Pflege

Haut Pellt Sich Was Tun Wenn Man Keine Pflegeprodukte Benutzen Darf Gesundheit Und Medizin Beauty Pickel

Schuppige Haut Das Hilft Brigitte De

Hautschuppchen Im Gesicht So Helfen Hausmittel Bei Trockener Haut

Hautschuppen

Mitesser Entfernen So Wird Die Haut Porenrein Stern De

Schuppige Haut Wie Geht Das Weg Schuppen
Q Tbn And9gcrpbmv5yhddqhucwvp Lnno 2xlx8dzlvvcuwhkhadgscvlze Usqp Cau

Peelings Richtig Anwenden Und Selber Machen Eurapon
Trockene Haut Im Gesicht Diese 4 Produkte Und 3 Hausmittel Helfen

Rot Schuppig Entzundet Was Ist Los Mit Ihrer Haut

So Waschst Du Dein Gesicht Richtig The Treatment Files De

Gesichtspeeling So Geht S Laut Dermatologin Freundin De Gesichtspeeling Peeling Furs Gesicht Gesicht Pflege

Apfelessig Fur Die Haut 5 Geniale Tipps Brigitte De
Q Tbn And9gctagboqjpspj9et Om7j494qpfteeynwmudowsl7 O6k9ah7mfn Usqp Cau

Woher Kommen Trockene Stellen Im Gesicht Liebenswert Magazin

Schuppchen Um Die Nasenflugel Durch Makeup Tipps Gesucht Magimania Beauty Blog

Korperpeelings 5 Peelings Fur Geschmeidige Haut Stern De

Wie Ich Meine Hautschuppen Und Hautprobleme Gelost Habe

Hautschuppen Instagram Posts Photos And Videos Picuki Com

Der Milchschorf Und Kopfgneis Hallohebamme

Mitesser Und Hautschuppen Leicht Entfernen Lavendelblog

Mehrere Hautprobleme Gesicht Kopf Haut Schuppen Trockene Haut

Mitesser Und Hautschuppen Leicht Entfernen Lavendelblog

Mitesser Und Hautschuppen Leicht Entfernen Lavendelblog

Gesichtspeeling Test Vergleich 01 21 Gut Bis Sehr Gut
Q Tbn And9gcrwu Ijnwbzzetvbuwkx3d8f321wadehodsug Kku5wlkrs46it Usqp Cau

Unreine Haut Das Hilft Gegen Pickel Mitesser Und Akne Brigitte De

Welche Formen Von Schuppenflechte Gibt Es Psoriasis Info

Mehrere Hautprobleme Gesicht Kopf Haut Schuppen Trockene Haut

Sonnenbrand Im Gesicht Das Hilft Sofort Brigitte De

Akne Effektiv Bekampfen Die Richtige Pflege Bei Akne

Hallo Ich Habe Neurodermites Und Bekomme Rote Felcken Im Gesicht Hautschuppen Was Hilft Neurodermitis

Milchschorf Im Gesicht Was Muss Ich Beachten Behandlung Co

Was Tun Bei Hautschuppen Medizin Menschen Biologie

Hautpflege So Beruhigen Sie Gereizte Haut Brigitte De

Seborrhoisches Ekzem Wikipedia

Von Neurodermitis Bis Schuppenflechte Unterschiede Und Behandlungsmoglichkeiten Rhon Gesundheitsblog